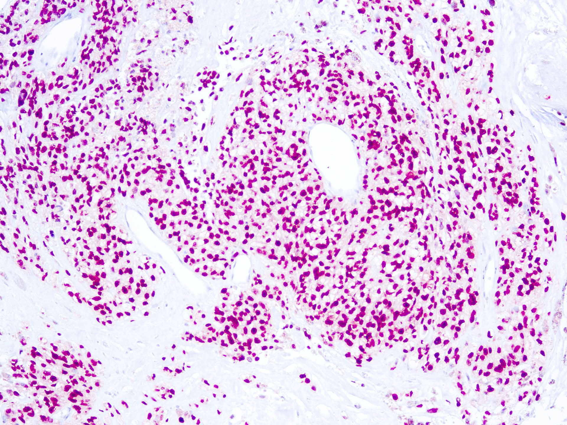
SOX-10, a member of the sex-determining region Y-related HMG-box family, is a transcription factor that is expressed in pre-migratory and migrating neural crest cells. Following migration it remains expressed in cells destined for glial, schwannian, and melanocytic differentiation. SOX10 is widely expressed in normal human tissues including melanocytes and breast tissue. SOX10 is also an important marker in malignant tumors such as melanoma, and breast carcinomas of basal-like and triple negative type, gliomas, and benign tumors such as schwannomas. More importantly, SOX10 has been shown to be expressed in 97-100% of desmoplastic and spindle cell melanomas and has also been shown to be expressed in 100% of nevi. Spindle cell and desmoplastic melanomas are rare variants of invasive cutaneous melanoma, with an annual incidence rate of approximately 2 per 100,000. The majority of oligodendrogliomas and a large percentage of astrocytomas and poorly differentiated glioblastomas have also been shown to express SOX10.
SOX-10
SKU: 5770
Categories: Primary Antibodies, IVD - For U.S. Market, IVD - Outside U.S. Market
Tags: Ready to Use, S, Concentrated
Description
Additional information
| Catalog No. | RMAB077 Concentrated, RMPD077 Prediluted |
|---|---|
| Clone | EP268 |
| Isotype | Rabbit IgG |
| Immunogen | Recombinant fragment corresponding to residues in human SOX-10 protein |
| Species | Rabbit |
| Cellular Localization | Nuclear |
| Positive Control Tissue | Melanoma |
| Pretreatment | EDTA Buffer pH 8.0 |
| Incubation & Temperature | 30 min @ RT |
| Intended Use | IVD |
| Detection System | PolyVue Plus – Two Step Detection System or Montage PolyVue Plus Auto Detection System for Montage 360 System |
| Description/Type | Rabbit Monoclonal Antibody |
| Format | This product is supplied as affinity purified containing BSA and Sodium azide as a preservative. |
DATASHEETS & SDS
DATASHEETS & SDS
| Download Datasheet |
| Download SDS Sheet – OSHA |
REFERENCES
REFERENCES
- Nonaka D, et al.: Am J Surg Pathol 2008, 32: 1291-1298
- Mohamed A, et al.: Appl Immunohistochem Mol Morphol 2012
- Cimino‐Mathews A, et al.: Hum Pathol 2013, 44:959-965
- Ivanov SV, et al.: Br J Cancer 2013, 109:444-451
Reviews (0)
Only logged in customers who have purchased this product may leave a review.




Reviews
There are no reviews yet.