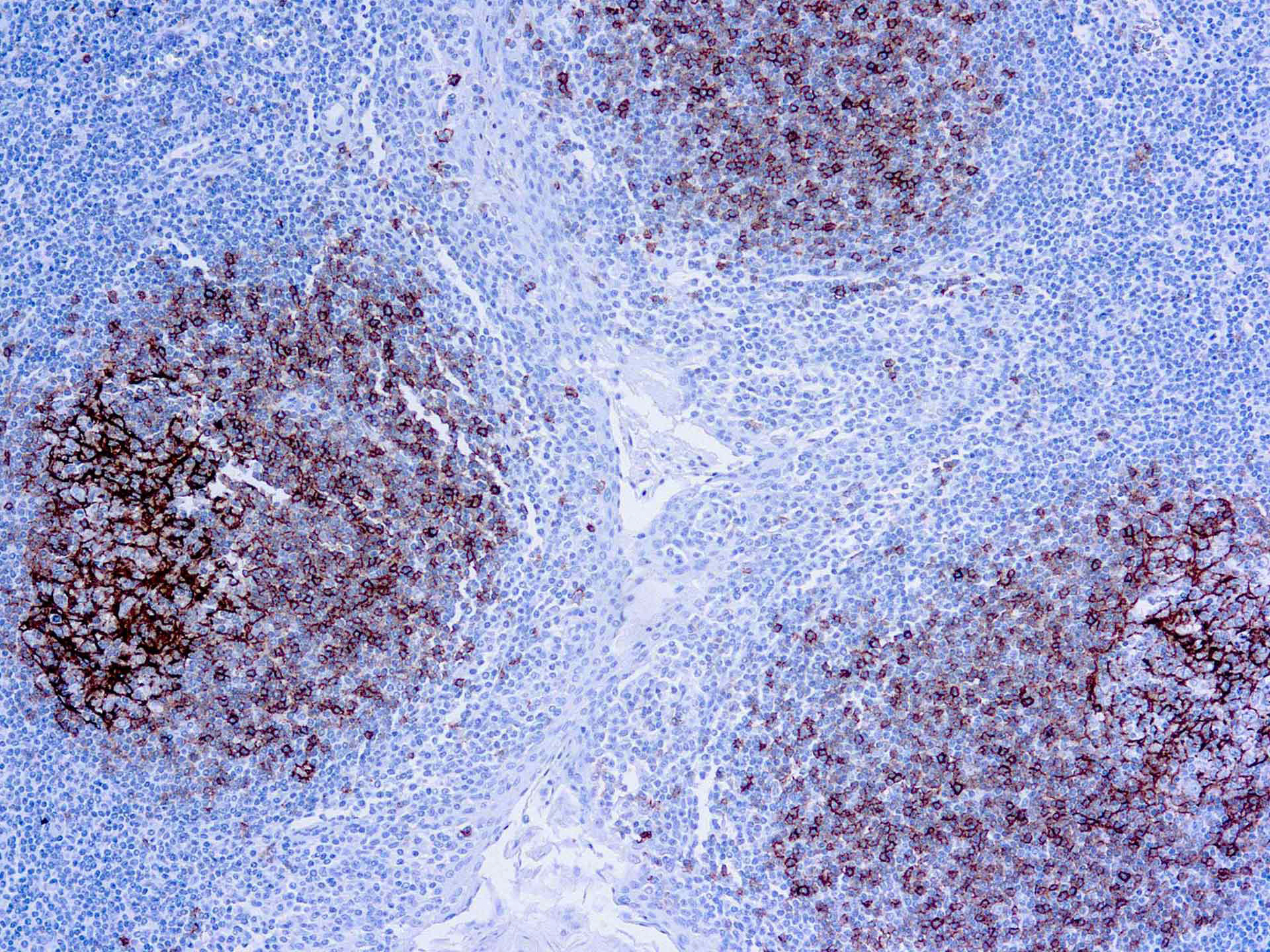
This antibody recognizes CD23. CD23 is a 45kDa glycoprotein, which is present on a subpopulation of freshly isolated peripheral blood and tonsil B cells and strongly expressed on EBV-transformed B lymphoblasts. The CD23 molecule is identical to the low affinity IgE receptor found on B cells. Expression of CD23 has been detected in neoplastic cells from cases of B cell chronic lymphocyctic leukemia and some cases of centroblastic/centrocytic lymphoma.
CD23 (SP23)
SKU: 5064
Categories: Primary Antibodies, IVD - For U.S. Market, IVD - Outside U.S. Market
Tags: C, Concentrated
Description
Additional information
| Clone | SP23 |
|---|---|
| Isotype | Rabbit IgG |
| Immunogen | Recombinant protein encoding human CD23 48-248 aa. |
| Species | Rabbit |
| Cellular Localization | cell membrane |
| Positive Control Tissue | Tonsil |
| Pretreatment | Citrate Buffer pH 6.0 |
| Incubation & Temperature | 30-60 min @ RT |
| Intended Use | IVD |
| Detection System | PolyVue Plus – Two Step Detection System or Montage PolyVue Plus Auto Detection System for Montage 360 System |
| Description/Type | Rabbit Monoclonal Antibody |
| Format | This product is supplied as a tissue culture supernatant and contains sodium azide as a preservative. |
DATASHEETS & SDS
DATASHEETS & SDS
| Download Datasheet |
| Download SDS Sheet – OSHA |
REFERENCES
REFERENCES
–
Reviews (0)
Only logged in customers who have purchased this product may leave a review.




Reviews
There are no reviews yet.