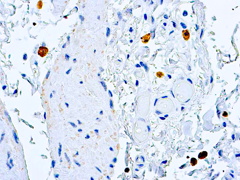
This antibody reacts with a 55 kDa protein. Caspase 8 has an N-terminal domain with sequence homology to the death effector domain (DED) of FADD. Caspase 8 binds to DED of FADD. Caspase 8 is activated by association with Fas/FADD death-inducing signaling complex to release two active subunits, p18 and p10 into the cytosol, where they activate other caspases amplifying the apoptotic signal.
Caspase 8
SKU: 5047
Categories: Primary Antibodies, IVD - Outside U.S. Market, RUO - For U.S. Market
Tags: Concentrated, C
Description
Additional information
| Clone | Rabbit |
|---|---|
| Isotype | _ |
| Immunogen | Recombinant full-length human caspase 8 protein. |
| Species | Rabbit |
| Cellular Localization | Cytoplasmic |
| Positive Control Tissue | Stomach |
| Pretreatment | Citrate Buffer pH 6.0 |
| Incubation & Temperature | _ |
| Intended Use | IVD |
| Detection System | PolyVue Plus – Two Step Detection System or Montage PolyVue Plus Auto Detection System for Montage 360 System |
| Description/Type | Conc Rabbit Polyclonal Antibody |
| Format | Purified immunoglobulin |
DATASHEETS & SDS
REFERENCES
REFERENCES
- i) Hu et al. J Biol Chem 272: 17255, 1997.
- Muzio et al. Cell 85: 817, 1996.
Reviews (0)
Only logged in customers who have purchased this product may leave a review.




Reviews
There are no reviews yet.