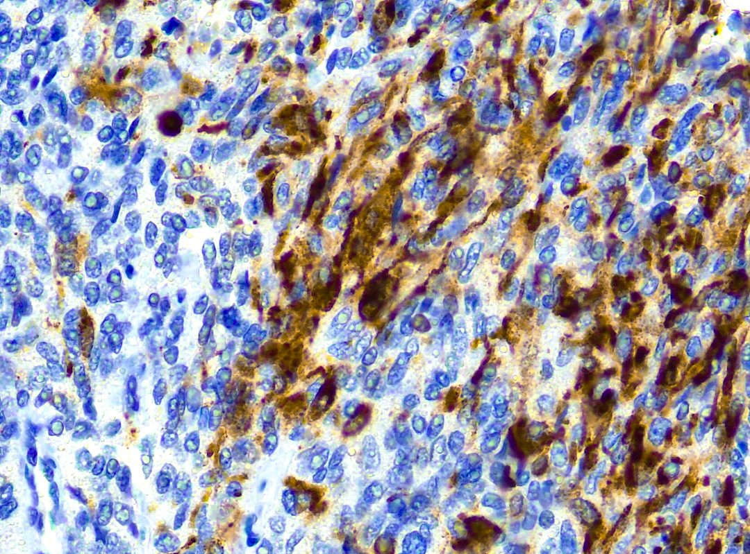
Calbindin D28K and Calretinin (also designated CR or 29 kDa Calbindin) are two closely related intracellular calcium-binding proteins belonging to the Troponin-C superfamily. Initially isolated from chick retina. Calretinin is an intracellular calcium-binding protein belonging to the troponin C superfamily characterized by a structural motif described as the EF-hand domain. The immunohistochemical detection of calretinin in developing cerebellum is restricted to the later stages indicated by weak staining from week 21 of gestation in Purkinje and basket cells and in neurons of the dentate nucleus. The intensity of staining increases as the cerebellum matures. In tumors, calretinin has been detected in mesotheliomas and some pulmonary adenocarcinomas.
Calretinin (H-5)
Description
Additional information
| Catalog No. | Mob593 Concentrated, PDM593 Prediluted |
|---|---|
| Clone | H-5 |
| Isotype | IgG2b, kappa |
| Immunogen | specific for an epitope mapping between amino acids 2-27 at the N-terminus of Calretinin of human origin |
| Species | Mouse |
| Cellular Localization | Cytoplasmic |
| Positive Control Tissue | Mesothelioma |
| Pretreatment | EDTA Buffer pH 8.0 |
| Incubation & Temperature | 30-60 min @ RT |
| Intended Use | IVD |
| Detection System | PolyVue Plus – Two Step Detection System or Montage PolyVue Plus Auto Detection System for Montage 360 System |
| Description/Type | FFPE |
| Format | Purified immunoglobulin |
DATASHEETS & SDS
DATASHEETS & SDS
| Download Datasheet |
| Download SDS Sheet – OSHA |
Reference
Reference
I. Rizzo, A., et al. 2014. Transforming activities of Chlamydia pneumoniae in
human mesothelial cells. Int. Microbiol. 17: 185-193.
II. Servato, J.P.S., et al. 2017. Ameloblastic fibrosarcoma: a case report and
literature review. Braz. Dent. J. 28: 262-272
III. Fu, C., et al. 2018. Multiple aspects of male germ cell development and
interactions with Sertoli cells require inositol hexakisphosphate kinase-1.
Sci. Rep. 8: 7039.
IV. He, F., et al. 2019. Critical role for phosphatidylinositol-3 kinase Vps34/
PIK3C3 in ON-bipolar cells. Invest. Ophthalmol. Vis. Sci. 60: 2861-2874.
Reviews (0)
Only logged in customers who have purchased this product may leave a review.




Reviews
There are no reviews yet.