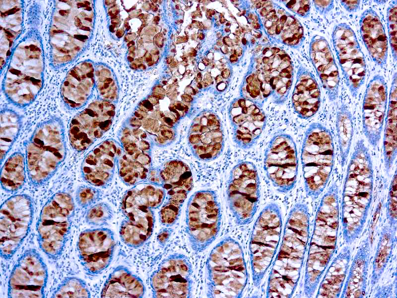
This antibody reacts specifically with sialyl Lewisa and recognizes an epitope being designated CA 19-9. It does not cross-reacts with Lewisa and Lewisb. CA 19-9 has been shown to be useful marker in the diagnosis and management of gastrointestinal cancers.
CA 19-9
SKU: Mob109-
Categories: Primary Antibodies, IVD - For U.S. Market, IVD - Outside U.S. Market
Tags: Concentrated, C
Description
Additional information
| Catalog No. | Mob109 Concentrated, PDM567 Prediluted |
|---|---|
| Clone | C241:5:1:4 |
| Isotype | IgG1 |
| Immunogen | Human colorectal adenocarcinoma cell line COLO 205. |
| Species | Mouse |
| Cellular Localization | Cytoplasmic |
| Positive Control Tissue | Colon carcinoma |
| Pretreatment | Citrate Buffer pH 6.0 |
| Incubation & Temperature | 30 min @ RT |
| Intended Use | IVD |
| Detection System | PolyVue Plus – Two Step Detection System or Montage PolyVue Plus Auto Detection System for Montage 360 System |
| Description/Type | FFPE |
| Format | Tissue Culture Supernatant |
DATASHEETS & SDS
DATASHEETS & SDS
| Download Datasheet |
| Download SDS Sheet – OSHA |
REFERENCES
REFERENCES
- Haglund et al. Br J Cancer 60: 845, 1989.
- Johansson et al. Tumor Biol 12: 159, 1991.
Kuusela et al. Br J Cancer 63: 636, 1991
Reviews (0)
Only logged in customers who have purchased this product may leave a review.




Reviews
There are no reviews yet.