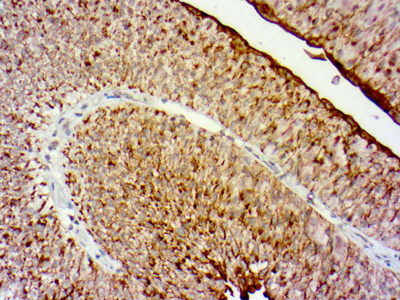
Uroplakins (UPs) are a family of transmembrane proteins (UPs Ia, Ib, II and III) that are specific differentiation products of urothelial cells. Uroplakins are markers of terminally differentiated urothelium. Uroplakin II (UPII) is a newly described sensitive marker for urothelial carcinoma (UC). The expression profile of UPII in different types of UC and its utility in the diagnostic setting are needed.
Uroplakin II
Description
Additional information
| Catalog No. | PDR177 Prediluted, RP177 Concentrated |
|---|---|
| Clone | Polyclonal |
| Immunogen | Peptide-KLH conjugate |
| Species | Rabbit |
| Cellular Localization | Cytoplasmic and Membranous |
| Positive Control Tissue | Bladder Carcinoma |
| Pretreatment | Tris EDTA Buffer pH9.0 |
| Incubation & Temperature | 30 min @ RT |
| Intended Use | IVD |
| Detection System | PolyVue Plus – Two Step Detection System or Montage PolyVue Plus Auto Detection System for Montage 360 System |
| Description/Type | Rabbit Polyclonal Antibody |
| Format | Tissue Culture Supernatant |
DATASHEETS & SDS
DATASHEETS & SDS
| Download Datasheet |
| Download SDS Sheet – OSHA |
REFERENCES
REFERENCES
- Moll R, et al. Uroplakins, specific membrane proteins of urothelial umbrella cells, as histological markers of metastatic transitional cell carcinomas. Am J Pathol. 1995; 147:1383-97
- Olsburgh J, et al. Uroplakin gene expression in normal human tissues and locally advanced bladder cancer. J Pathol. 2003; 199:41-9
- Parker DC, et al. Potential utility of uroplakin III, thrombomodulin, high molecular weight cytokerain and cytokeratin 20 in noninvasive, invasive, and metastatic urothelial (transitional cell) carcinomas. Am J Surg Pathol. 2003; 27:1-10
- Ohtsuka Y, et al. Loss of uroplakin III expression is associated with a poor prognosis in patients with urothelial carcinoma of the upper urinary tract. BJU Int. 2006; 97:1322-6.
Reviews (0)
Only logged in customers who have purchased this product may leave a review.




Reviews
There are no reviews yet.