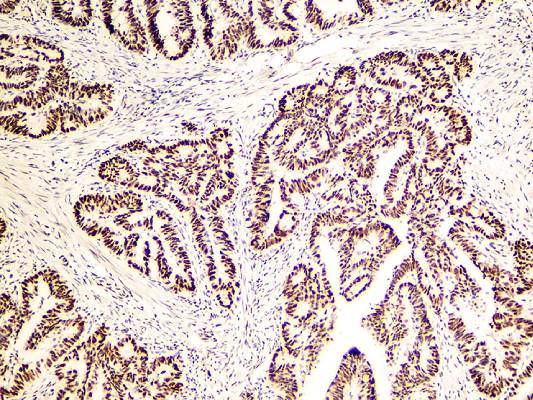
Postmeiotic segregation increased 2 or PMS2 was originally discovered in S. cerevisiae and is part of the mismatch repair system. It resides on 7p22.2 and its gene product partners with MLH1 to help detect mismatches in DNA. Mutations in PMS2 have been reported in about two percent of families with Lynch syndrome (hereditary nonpolyposis colorectal cancer).
PMS2
SKU: PDM171-
Categories: Primary Antibodies, IVD - For U.S. Market, IVD - Outside U.S. Market
Tags: HL72K Plus-Core Plus Kit, Prediluted, P, Highlighter Product
Description
Additional information
| Catalog No. | PDM171 Prediluted |
|---|---|
| Clone | A16-4 |
| Isotype | IgG1, κ |
| Immunogen | Recombinant human PMS2 (C-terminus) |
| Species | Mouse |
| Cellular Localization | Nuclear |
| Positive Control Tissue | Colon carcinoma, Tonsil |
| Pretreatment | EDTA Buffer pH 8.0 |
| Incubation & Temperature | 30 min @ RT |
| Intended Use | IVD |
| Detection System | PolyVue Plus – Two Step Detection System or Montage PolyVue Plus Auto Detection System for Montage 360 System |
| Description/Type | RTU Mouse Monoclonal Antibody |
| Format | Tissue Culture Supernatant |
DATASHEETS & SDS
DATASHEETS & SDS
| Download Datasheet |
| Download SDS Sheet – OSHA |
REFERENCES
REFERENCES
- McClung et al. Exp Gerontol 30 (2): 99, 1995.
- Sato et al. Cancer Res 52: 1643, 1992.
- Terashima et al. EBMO 13: 3782, 1994.
Reviews (0)
Only logged in customers who have purchased this product may leave a review.




Reviews
There are no reviews yet.