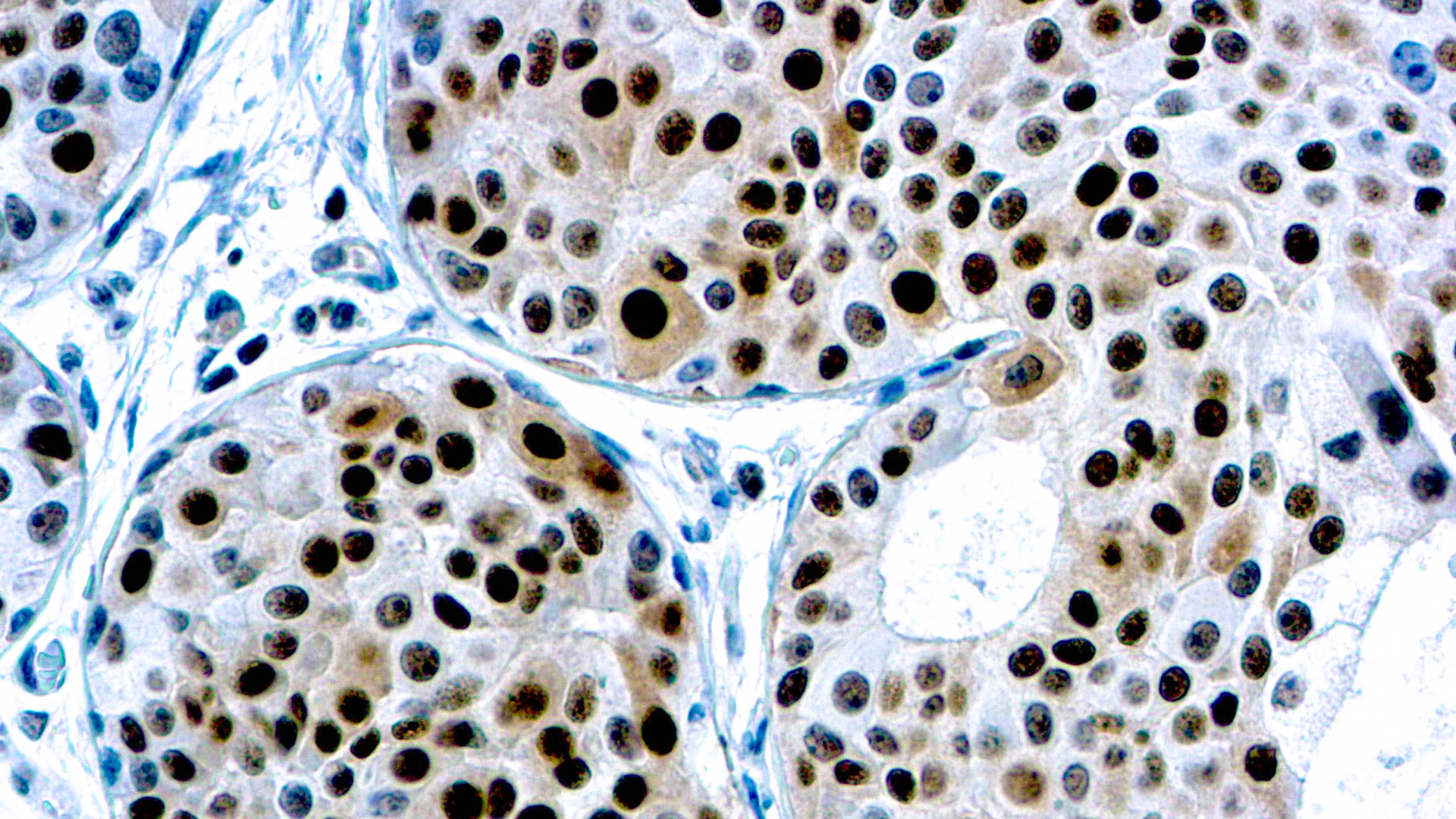
This antibody is specific to a protein of 27 kDa known as p27Kip1, a cell cycle regulatory mitotic inhibitor. Its epitope spans between aa 83-204 of p27. It is highly specific and shows no cross-reaction with other related mitotic inhibitors. p27Kip1 functions as a negative regulator of G1 progression and has been proposed to function as a possible mediator of TGF- induced G1 arrest. p27Kip1 is a candidate tumor suppressor gene. Down regulation of p27Kip1 is found in many types of cancer, and decreased expression of p27Kip1 is associated with poor prognosis in several tumors, including lung, breast, colorectal and prostate.
p27KIP1, Mitotic Inhibitor / Suppressor Protein
SKU: Mob281-
Categories: Primary Antibodies, IVD - For U.S. Market, IVD - Outside U.S. Market
Tags: Concentrated, P
Description
Additional information
| Catalog No. | Mob281 Concentrated, PDM245 Prediluted |
|---|---|
| Clone | DCS-72.F6 |
| Isotype | IgG1, kappa |
| Immunogen | Mouse recombinant p27 protein. |
| Species | Mouse |
| Cellular Localization | Nuclear |
| Positive Control Tissue | Breast carcinoma, Colon carcinoma, Tonsil |
| Pretreatment | EDTA Buffer pH 8.0 |
| Incubation & Temperature | 30 min @ RT |
| Intended Use | IVD |
| Detection System | PolyVue Plus – Two Step Detection System or Montage PolyVue Plus Auto Detection System for Montage 360 System |
| Description/Type | Mouse Monoclonal Antibody |
| Format | Purified immunoglobulin |
DATASHEETS & SDS
DATASHEETS & SDS
| Download Datasheet |
| Download SDS Sheet – OSHA |
REFERENCES
REFERENCES
- Fredersdorf S, et al.: Proc Natl Acad Sci 1997;94:6380-5;
- Sgambato A, et al: A review. J Cell Physiol 2000;183:18-27;
- Sherr CJ, et al.: Genes & Dev 1999;13:1501-12
Reviews (0)
Only logged in customers who have purchased this product may leave a review.




Reviews
There are no reviews yet.