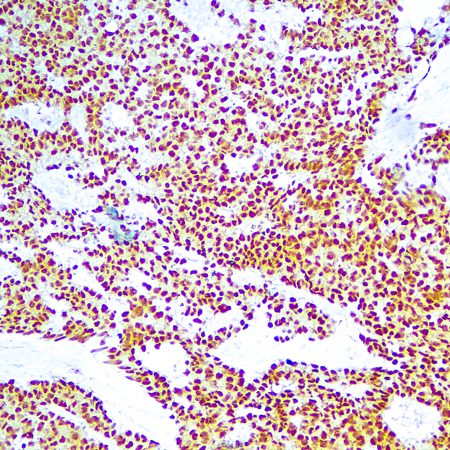
OCT-3/4 (also known as POU5F1) is a transcription factor that has been recognized as fundamental in the maintenance of pluripotency in embryonic stem cells and primordial germ cells. It has been proposed as a useful marker for germ cell tumors (GCT) that exhibit features of pluripotentiality (seminoma/dysgerminoma, germinoma and embryonal carcinoma. OCT-3/4 immunostaining has been shown to be sensitive and specific for GCT, whether in primary gonadal or extragonadal sites or in metastatic lesions.
OCT-3/4 (OCT4/6847R)
Description
Additional information
| Catalog No. | RMAB113 Concentrated, RMPD113 Prediluted |
|---|---|
| Clone | OCT4/6847R |
| Isotype | IgG, kappa |
| Immunogen | Rabbit injected with synthetic peptide of human OCT-3/4 origin. |
| Species | Rabbit |
| Positive Control Tissue | Seminoma |
| Cellular Localization | Nuclear |
| Pretreatment | Tris-EDTA Buffer pH 9.0 |
| Incubation & Temperature | 30 min @ RT |
| Intended Use | IVD |
| Detection System | PolyVue™ Plus – Two Step Detection System or Montage PolyVue Plus™ Auto Detection System for Montage 360 System |
| Description/Type | Rabbit Monoclonal Antibody |
| Format | Purified immunoglobulin |
DATASHEETS & SDS
DATASHEETS & SDS
| Download Datasheet |
| Download SDS Sheet – OSHA |
REFERENCES
REFERENCES
i) Cheng et al. J Pathol 211: 1, 2007.
ii) Jung et al. Appl Immunohistochem Mol Morph 14: 273, 2006.
iii) Sung et al. Human Pathol. Jun;37(6):662-7, 2006.
iv) Jones et al. Am J Surg Pathol. Nov,30(11):1427-31, 2006.
v) Hattab et al. Am J Surg Pahtol. 29(3):368-371, 200
Reviews (0)
Only logged in customers who have purchased this product may leave a review.




Reviews
There are no reviews yet.