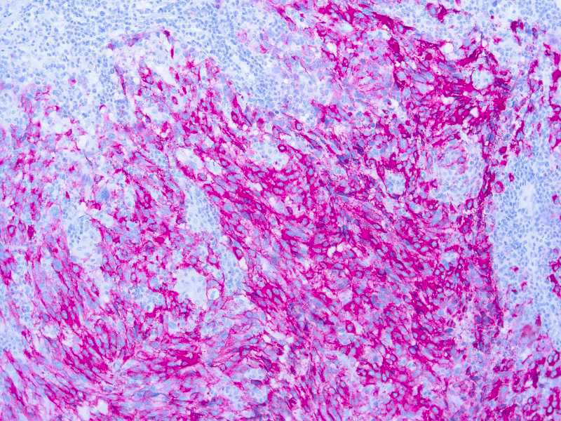
Anti-PNL2 may be most useful because of its high sensitivity for metastatic melanoma (87%), as opposed to 76% for anti-HMB45 and 82% for antiMART-1. Anti-PNL2 labels intra-epidermal nevi while the dermal component of compound nevi are largely non-reactive with anti-PNL2. Antibodies against PNL2, MART-1 (Melan A) and HMB45 stain most clear cell sarcoma cells and a few cells in angio-myolipomas and lymphangioleiomyomatosis. Anti-PNL2 is a useful antibody for the identification of melanomas and clear cell sarcomas. Differential diagnosis is aided by the results from a panel of antibodies, including antibodies against HMB45, MART-1, tyrosinase, and MiTF.
Melanoma
SKU: 8802
Categories: Primary Antibodies, IVD - For U.S. Market, IVD - Outside U.S. Market
Tags: Concentrated, M
Description
Additional information
| Catalog No. | Mob421, PDM213 |
|---|---|
| Clone | PNL2 |
| Isotype | IgG1 |
| Immunogen | Melanocyte antigen |
| Species | Mouse |
| Cellular Localization | cell membrane, Cytoplasmic |
| Positive Control Tissue | Melanoma |
| Pretreatment | Citrate Buffer pH6.0 |
| Incubation & Temperature | 30 min @ RT |
| Intended Use | IVD |
| Detection System | PolyVue Plus – Two Step Detection System or Montage PolyVue Plus Auto Detection System for Montage 360 System |
| Description/Type | Mouse Monoclonal Antibody |
| Format | Purified immunoglobulin |
DATASHEETS & SDS
DATASHEETS & SDS
| Download Datasheet |
| Download SDS Sheet – OSHA |
REFERENCES
REFERENCES
- Lodding et al. Virchows Arch A Pathol Anat Histopathol 417: 377,
1990. - Rochaix, P et al. PNL2, a New Monoclonal Antibody Directed
against a Fixative-Resistant Melanocyte Antigen. Mod Pathol 2003;
16(5):481-490. - J. A. Ramos-Vara and M. A. Miller. Immunohistochemical
Identification of Canine Melanocytic Neoplasms With Antibodies to
Melanocytic Antigen PNL2 and Tyrosinase: Comparison With Melan
A. Veterinary Pathology OnlineFirst, published on September 21,
2010 as doi:10.1177/0300985810382095.
Reviews (0)
Only logged in customers who have purchased this product may leave a review.




Reviews
There are no reviews yet.