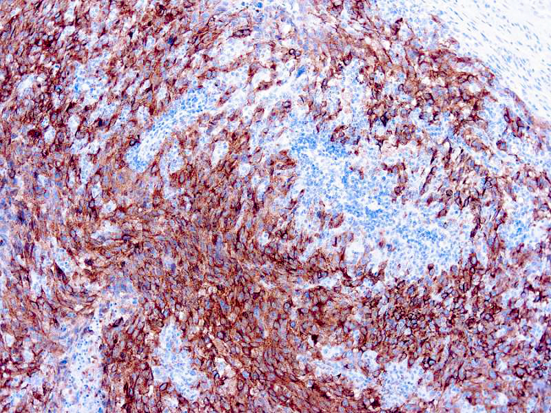
The HMB45 clone reacts with a neuraminidase-sensitive oligosaccharide side chain of a glycoconjugate present in immature melanosomes. The HMB45- reactive antigen is present in cutaneous melanocytes, prenatal and infantile retinal pigment epithelium and melanoma cells and is thought to be oncofetal in nature. This antibody has been shown to label the majority of melanomas. Clone A103 recognizes a protein of 20 kDa, identified as MART1 (melanoma antigen recognized by T cells-1) or Melan-A. Melan-A is a useful addition to melanoma panels as it is apparently specific for melanocytic lesions. Studies have also shown that MART-1 is more sensitive than HMB45 when labeling metastatic melanomas. Tyrosinase is a key enzyme involved in the initial stages of melanin biosynthesis. Studies have shown tyrosinase to be a more sensitive marker when compared to HMB45 and MART-1. It has been shown to label a higher percentage of desmoplastic melanomas than HMB45. The combination of HMB45, MART-1 and tyrosinase make this triple antibody cocktail a first-order pan melanoma screener.
Melanoma Cocktail Antibody
SKU: 8467
Categories: Primary Antibodies, IVD - For U.S. Market, IVD - Outside U.S. Market
Tags: HL72K-Core Kit, Concentrated, M, Highlighter Product
Description
Additional information
| Clone | HMB45 + A103 + T311 |
|---|---|
| Isotype | HMB45 and A103, IgG1; T311, IgG2a |
| Immunogen | Pigmented melanoma metastases from lymph nodes (HMB45). Recombinant human MART-1 protein (A103). Recombinant tyrosinase protein T311. |
| Species | Mouse |
| Cellular Localization | Cytoplasmic |
| Positive Control Tissue | Metastatic melanoma in lymph node |
| Pretreatment | Citrate Buffer pH 6.0 (Manual/ Montage) |
| Incubation & Temperature | 30 min @ RT |
| Intended Use | IVD |
| Detection System | PolyVue™ Plus – Two Step Detection System or Montage PolyVue Plus™ Auto Detection System for Montage 360 System or HighLighter core kit for HighLighter Staining System |
| Description/Type | Mouse Monoclonal Antibody |
| Format | This product is supplied as a tissue culture supernatant and contains sodium azide as a preservative. |
DATASHEETS & SDS
DATASHEETS & SDS
| Download Datasheet |
| Download SDS Sheet – OSHA |
REFERENCES
REFERENCES
- Chen et al. Proc Natl Mad Sci USA 92: 8125, 1995.
- Gown et al. Am 1 Pathol 123: 195, 1986.
- Kapur et al. 1 Histochem Cytochem 40: 207, 1992.
Reviews (0)
Only logged in customers who have purchased this product may leave a review.




Reviews
There are no reviews yet.