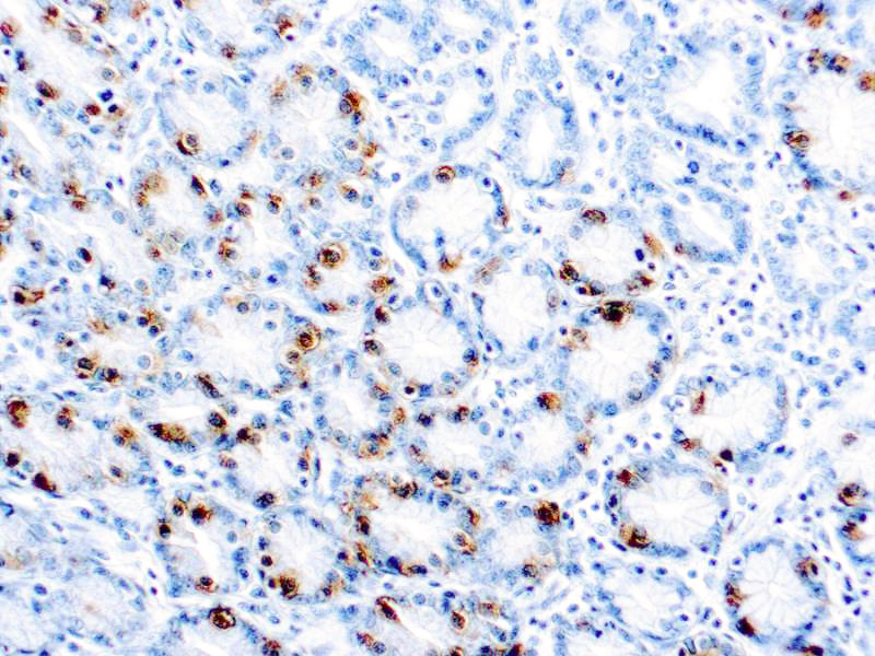
The antibody is specific against gastrin-containing cells. This anti-body reacts with human gastrin I and human gastrin I fragments. No cross-reactivity was observed with rat gastrin, human big gastrin, human gastrin releasing peptide, sulfated cholecystokinin amide, non-sulfated cholecystokinin amide and cholecystokinin.
Gastrin
SKU: 8418
Categories: Primary Antibodies, IVD - For U.S. Market, IVD - Outside U.S. Market
Tags: Concentrated, G, Highlighter Product, HL72K-Core Kit
Description
Additional information
| Clone | Rabbit |
|---|---|
| Immunogen | Recombinant gastrin conjugated to KLH. |
| Species | Rabbit |
| Cellular Localization | Cytoplasmic |
| Positive Control Tissue | Stomach |
| Pretreatment | None |
| Incubation & Temperature | 30 min @ RT |
| Intended Use | IVD |
| Detection System | PolyVue Plus – Two Step Detection System or Montage PolyVue Plus Auto Detection System for Montage 360 System |
| Description/Type | Rabbit Polyclonal Antibody |
| Format | Purified immunoglobulin fraction of rabbit antiserum against Factor XIIIa containing sodium azide as a preservative. |
DATASHEETS & SDS
DATASHEETS & SDS
| Download Datasheet |
| Download SDS Sheet – OSHA |
REFERENCES
REFERENCES
- Buchan, A. et al. Nature 277: 138, 1979.
- Hodges, A. et. al. Gut 22:237, 1981.
- Wool, P Br. J. Cancer 63: 469, 1991.
Reviews (0)
Only logged in customers who have purchased this product may leave a review.




Reviews
There are no reviews yet.