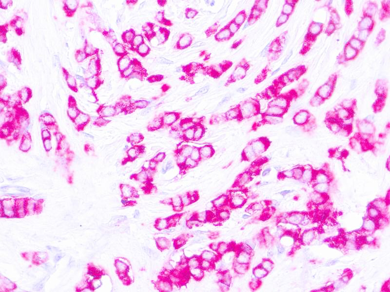
This antibody reacts with an antigen of 265‐400 kDa belonging to a heterogeneous group of heavily glycosylated proteins called human milk fat globule proteins. It stains both normal and neoplastic cells. Among normal epithelia, it reacts strongly with mammary epithelium and glandular epithelia but shows a patchy staining with squamous epithelium.
Epithelial Membrane Antigen (EMA) E29
SKU: 8738
Categories: Primary Antibodies, IVD - For U.S. Market, IVD - Outside U.S. Market
Tags: Highlighter Product, HL72K-Core Kit, Concentrated, E
Description
Additional information
| Catalog No. | Mob401, PDM204, PDM204-HL |
|---|---|
| Clone | E29 |
| Isotype | IgG2a, kappa |
| Immunogen | Harvested Tissue Culture/Supernatant |
| Species | Mouse |
| Cellular Localization | cell membrane, Cytoplasmic |
| Positive Control Tissue | Breast carcinoma |
| Pretreatment | Citrate Buffer pH 6.0 |
| Incubation & Temperature | 30 min @ RT |
| Intended Use | IVD |
| Detection System | PolyVue Plus – Two Step Detection System or Montage PolyVue Plus Auto Detection System for Montage 360 System |
| Description/Type | Mouse Monoclonal Antibody |
| Format | Tissue Culture Supernatant |
DATASHEETS & SDS
DATASHEETS & SDS
| Download Datasheet |
| Download SDS Sheet – OSHA |
REFERENCES
REFERENCES
- Heyderman et al. Br J Cancer 52: 355, 1985.
- Cordell et al. Br J Cancer 52: 347, 1985.
- Pinkus et al. Human Pathol 16: 929, 1985
Reviews (0)
Only logged in customers who have purchased this product may leave a review.




Reviews
There are no reviews yet.