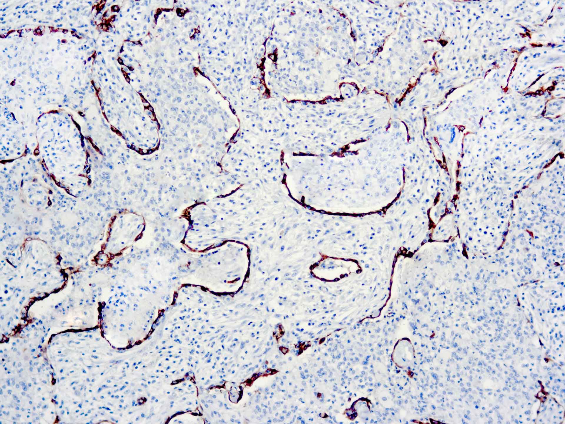
Twenty human keratins are resolved with two-dimensional gel electrophoresis into acidic (pI <5.7) and basic (pI >6.0) subfamilies. The acidic keratins have molecular weights (MW) of 56.5, 55, 51, 50, 50′, 48, 46, 45, and 40kDa. MAb AE3 recognizes the 65-67, 64, 59, 58, 56, and 52kDa keratins of basic subfamily. Many studies have shown the usefulness of keratins as markers in cancer research and tumor diagnosis. AE1/AE3 is a broad spectrum anti pan-keratin antibody cocktail, which differentiates epithelial tumors from non-epithelial tumors e.g. squamous vs. adenocarcinoma of the lung, liver carcinoma, breast cancer, and esophageal cancer.
Cytokeratin AE1/AE3
SKU: Mob190-
Categories: Primary Antibodies, IVD - For U.S. Market, IVD - Outside U.S. Market
Tags: HL72K-Core Kit, Concentrated, C, Highlighter Product
Description
Additional information
| Clone | AE1+AE3 |
|---|---|
| Isotype | IgG1, kappa |
| Immunogen | BALB/C mice were immunized with human epidermal keratin. |
| Species | Mouse |
| Cellular Localization | Cytoplasmic |
| Positive Control Tissue | Squamous Lung Carcinoma |
| Pretreatment | Citrate Buffer pH 6.0 |
| Incubation & Temperature | 30 min @ RT |
| Intended Use | IVD |
| Detection System | PolyVue™ Plus – Two Step Detection System or Montage PolyVue Plus™ Auto Detection System for Montage 360 System or HighLighter core kit for HighLighter Staining System |
| Description/Type | Mouse Monoclonal Antibody |
| Format | This product is supplied as a purified immunoglobulin and contains sodium azide as a preservative. |
DATASHEETS & SDS
DATASHEETS & SDS
| Download Datasheet |
| Download SDS Sheet – OSHA |
REFERENCES
REFERENCES
- Moinfar F et. al. Am J Surg Pathol 1999;23(9):1048-58
- Varma M et. al. Mod Pathol 1999;12(5):472-8
Reviews (0)
Only logged in customers who have purchased this product may leave a review.




Reviews
There are no reviews yet.