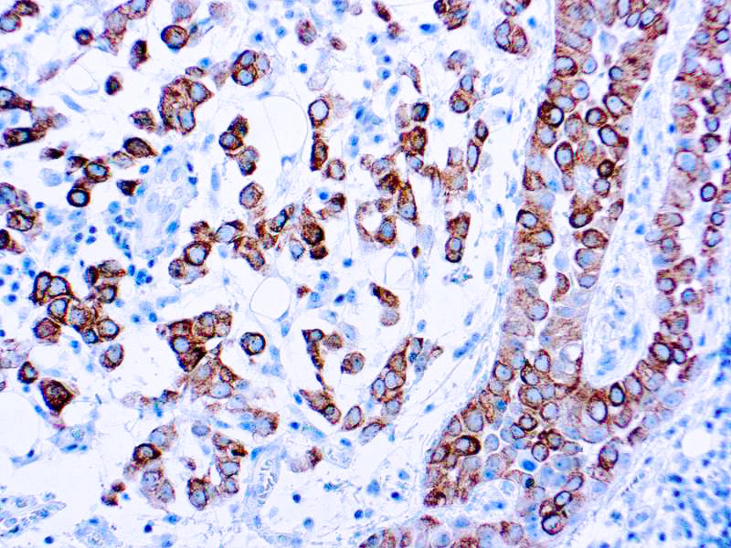
This antibody reacts with cytokeratin 5 intermediate filament protein. Basal cells of human epidermis express acidic cytokeratin 14 and basic cytokeratin 5. Cytokeratin 5 is a 58 kDa protein, which is closely related to cytokeratin 6. Cytokeratin 5 and 6 are expressed in basal cell epithelioma, basal cells of prostate, urothelium, vagina, squamous cell carcinomas of skin, tongue, epiglottis and rectal-anal region. Cytokeratin 5 can be useful in the distinction of mesotheliomas from most adenocarcinomas.
Cytokeratin 5 (XM26)
SKU: 8373
Categories: Primary Antibodies, IVD - For U.S. Market, IVD - Outside U.S. Market
Tags: Highlighter Product, HL72K-Core Kit, Concentrated, C
Description
Additional information
| Clone | XM26 |
|---|---|
| Isotype | IgG1, kappa |
| Immunogen | BALB/C mice were injected with prokaryotic recombinant protein corresponding to 103 amino acid portion of C-terminal region of the human cytokeratin 5 molecule. |
| Species | Mouse |
| Cellular Localization | Cytoplasmic |
| Positive Control Tissue | skin |
| Pretreatment | Citrate Buffer pH 6.0 |
| Incubation & Temperature | 30 min @ RT |
| Intended Use | IVD |
| Detection System | PolyVue Plus – Two Step Detection System or Montage PolyVue Plus Auto Detection System for Montage 360 System |
| Description/Type | Mouse Monoclonal Antibody |
| Format | This product is supplied as a tissue culture supernatant and contains sodium azide as a preservative. |
DATASHEETS & SDS
DATASHEETS & SDS
| Download Datasheet |
| Download SDS Sheet – OSHA |
REFERENCES
REFERENCES
- Irvine et al..’ Invest Dermatol 108: 809, 1997.
- Whitlock et al. Biochem Biophys Res Commun 274:149, 2000.
Reviews (0)
Only logged in customers who have purchased this product may leave a review.




Reviews
There are no reviews yet.