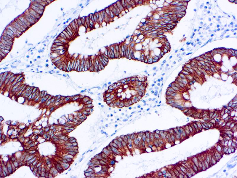
This antibody is specific to human cytokeratin 18 of 45 kDa. Cytokeratin 18 belongs to a family of acidic type A keratins and exists along with cytokeratin 8 in most simple ductal and glandular epithelia. This antibody does not react with squamous epithelium. It reacts with benign and malignant epithelial lesions as well as a majority of adenocarcinomas and basal cell carcinomas.
Cytokeratin 18 (DC10)
SKU: 8367
Categories: Primary Antibodies, IVD - For U.S. Market, IVD - Outside U.S. Market
Tags: Concentrated, C, Highlighter Product, HL72K-Core Kit
Description
Additional information
| Clone | DC-10 |
|---|---|
| Isotype | IgG1 |
| Immunogen | BALB/C mice were injected with PMC-42 human breast carcinoma cell line. |
| Species | Mouse |
| Cellular Localization | Cytoplasmic |
| Positive Control Tissue | skin |
| Pretreatment | Citrate Buffer pH 6.0 (Manual/ Montage) |
| Incubation & Temperature | 30 min @ RT |
| Intended Use | IVD |
| Detection System | PolyVue™ Plus – Two Step Detection System or Montage PolyVue Plus™ Auto Detection System for Montage 360 System or HighLighter core kit for HighLighter Staining System |
| Description/Type | Mouse Monoclonal Antibody |
| Format | This product is supplied as a purified immunoglobulin and contains sodium azide as a preservative. |
DATASHEETS & SDS
DATASHEETS & SDS
| Download Datasheet |
REFERENCES
REFERENCES
- Bade* et al..1Patbol 164: 215, 1991.
- Laueroya et al. Hybridoma 7: 495, 1988. di) Moll et al. Cell 31: 11, 1982.
Reviews (0)
Only logged in customers who have purchased this product may leave a review.




Reviews
There are no reviews yet.