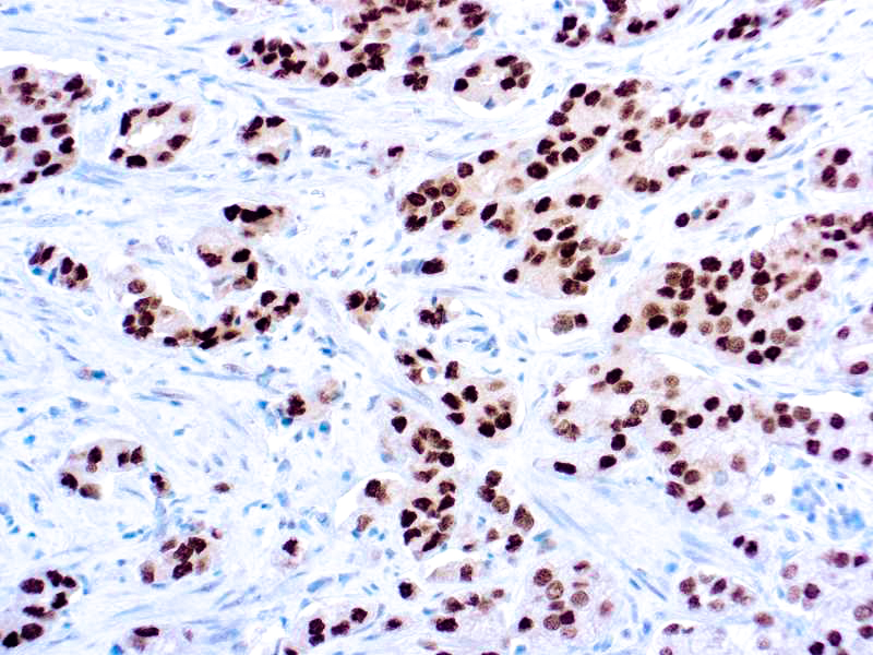
This antibody is specific to a protein of 110 kDa, identified as androgen receptor. This antibody reacts with full length AR and also with the newly described A form of the receptor. This antibody does not cross-react with estrogen, progesterone or glucocorticoid receptors.
Androgen Receptor
SKU: Mob245-
Categories: Primary Antibodies, IVD - For U.S. Market, IVD - Outside U.S. Market
Tags: A, Concentrated
Description
Additional information
| Catalog No. | Mob245, PDM167 |
|---|---|
| Clone | AR 441 |
| Isotype | IgG1 |
| Immunogen | BALB/C mice were injected with a synthetic peptide corresponding to the human androgen receptor. |
| Species | Mouse |
| Cellular Localization | Nuclear |
| Positive Control Tissue | Prostate carcinoma |
| Pretreatment | Citrate Buffer pH 6.0 |
| Incubation & Temperature | 30 min @ RT |
| Intended Use | IVD |
| Detection System | PolyVue™ Plus – Two Step Detection System or Montage PolyVue Plus™ Auto Detection System for Montage 360 System or HighLighter core kit for HighLighter Staining System |
| Description/Type | Mouse Monoclonal Antibody |
| Format | This product is supplied as a purified immunoglobulin and contains sodium azide as a preservative. |
DATASHEETS & SDS
DATASHEETS & SDS
| Download Datasheet |
| Download SDS Sheet – OSHA |
REFERENCES
REFERENCES
- Chodak et al. J Urol 147: 798, 1992.
- Hsu et al. Taiwan J Obstet Gynecol 48(3): 262, 2009.
- Niemeier et al. Mod Pathol doi: 10.1038/modpathol.2009.159
- Qiu et al. Asian J Androl 10(6): 855, 2008.
- Rakha et al. Cancer 109(1): 25, 2007
- Ruizeveld de Winter, J Hi
Reviews (0)
Only logged in customers who have purchased this product may leave a review.




Reviews
There are no reviews yet.