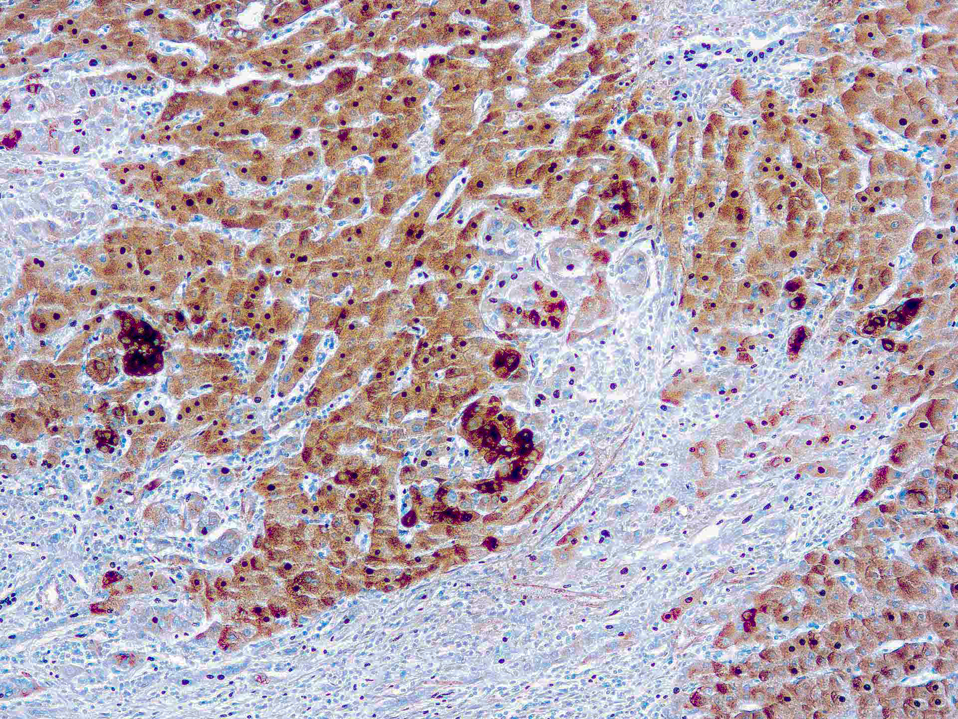
α-fetoprotein (AFP) is a single chain glycoprotein of 70 kDa that is normally expressed in the fetal liver, gastrointestinal tract and yolk sac. This antibody recognizes an epitope of α-fetoprotein present in human and several other species.
α Fetoprotein (AFP)
SKU: Mob129-
Categories: Primary Antibodies, IVD - For U.S. Market, IVD - Outside U.S. Market
Tags: A, Concentrated
Description
Additional information
| Catalog No. | Mob129, Mob129-05, PDM057 |
|---|---|
| Clone | C3 |
| Isotype | IgG2a |
| Immunogen | BALB/C mice were injected with purified human α-fetoprotein. |
| Species | Mouse |
| Cellular Localization | Cytoplasmic |
| Positive Control Tissue | Fetal liver |
| Pretreatment | None |
| Incubation & Temperature | 30 min @ RT |
| Intended Use | IVD |
| Detection System | PolyVue Plus – Two Step Detection System or Montage PolyVue Plus Auto Detection System for Montage 360 System |
| Description/Type | Mouse Monoclonal Antibody |
| Format | This product is supplied as an ascites fluid. It contains sodium azide as a preservative. |
DATASHEETS & SDS
DATASHEETS & SDS
| Download Datasheet |
| Download SDS Sheet – OSHA |
REFERENCES
REFERENCES
- Abelev et al. Cancer Res 14:295, 1971.
- Chan et al. Clin Chem 32: 1318, 1985.
- Yazova et al. Immunol Lett 25: 325, 1990.
Reviews (0)
Only logged in customers who have purchased this product may leave a review.




Reviews
There are no reviews yet.