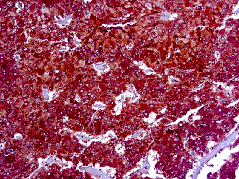
Recognizes a protein of 48kDa, which is identified as Adipophilin. It belongs to the perilipin family, members of which coat intracellular lipid storage droplets. This protein is associated with the lipid globule surface membrane material, and maybe involved in development and maintenance of adipose tissue. However, it is not restricted to adipocytes as previously thought, but is found in a wide range of cultured cell lines, including fibroblasts, endothelial and epithelial cells, and tissues, such as lactating mammary gland, adrenal cortex, Sertoli and Leydig cells, and hepatocytes in alcoholic liver cirrhosis, suggesting that it may serve as a marker of lipid accumulation in diverse cell types and diseases.
Adipophilin
SKU: Mob534-
Categories: Primary Antibodies, IVD - For U.S. Market, IVD - Outside U.S. Market
Tags: Concentrated, A
Description
Additional information
| Catalog No. | Mob534 Concentrated, PDM534 Prediluted |
|---|---|
| Clone | DBM15.60 |
| Isotype | IgG2b, kappa |
| Immunogen | Recombinant human Adipophilin protein fragment. |
| Species | Mouse |
| Cellular Localization | Cytoplasmic |
| Positive Control Tissue | Adrenal gland |
| Pretreatment | EDTA Buffer pH 8.0 |
| Incubation & Temperature | 30 min @ RT |
| Intended Use | IVD |
| Detection System | PolyVue Plus – Two Step Detection System or Montage PolyVue Plus Auto Detection System for Montage 360 System |
| Description/Type | Conc Mouse Monoclonal Antibody |
| Format | pH 7.5 containing 1% bovine serum albumin (BSA) and 0.05% sodium azide (NaN3) as a preservative., This antibody is affinity purified and diluted in 10 mM Phosphate buffered saline (PBS) |
DATASHEETS & SDS
DATASHEETS & SDS
| Download Datasheet |
| Download SDS Sheet – OSHA |
REFERENCES
REFERENCES
- Tolkach Y, et al. Adipophilin as prognostic biomarker in clear cell renal cell carcinoma.Oncotarget, 2017 Apr 25.
- Fujimoto M, et al. Adipophilin expression in lung adenocarcinoma is associated with apocrine-like features and poor clinical prognosis: an immunohistochemical study of 328 cases. Histopathology, 2017 Jan.
Reviews (0)
Only logged in customers who have purchased this product may leave a review.




Reviews
There are no reviews yet.