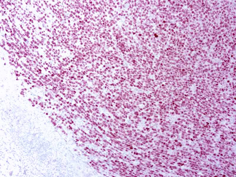
PRAME (Preferentially expressed Antigen in Melanoma) is a tumorassociated antigen and is a member of the family of cancer testis antigens (CTA). PRAME is expressed in malignant cells, including leukaemias, Hodgkin’s lymphoma, breast cancer, and primary and metastatic melanomas. PRAME has low or no expression in normal tissues except for in testis, ovary, placenta, adrenals and endometrium.
PRAME
SKU: RMAB109-
Categories: Primary Antibodies, IVD - For U.S. Market, IVD - Outside U.S. Market
Tags: Concentrated, P
Description
Additional information
| Catalog No. | RMAB109 Concentrated, RMPD109 Prediluted |
|---|---|
| Clone | EPR20330 |
| Isotype | IgG |
| Immunogen | Recombinant fragment within Human PRAME aa 100 to the C-terminus. The exact sequence is proprietary |
| Species | Rabbit |
| Cellular Localization | cell membrane, Nuclear |
| Positive Control Tissue | Melanoma |
| Pretreatment | Citrate buffer, pH 6.0 |
| Incubation & Temperature | 30 min @ RT |
| Intended Use | IVD |
| Detection System | PolyVue Plus – Two Step Detection System or Montage PolyVue Plus Auto Detection System for Montage 360/HighLighter System |
| Description/Type | Rabbit Monoclonal Antibody |
| Format | Purified immunoglobulin |
DATASHEETS & SDS
DATASHEETS & SDS
| Download Datasheet |
| Download SDS Sheet – OSHA |
REFERENCES
REFERENCES
- Elenius K, et al.: J Biol Chem1990, 265:17837-17843
- MaliM, et al.: J Biol Chem1990, 265:6884-6889
- O’Connell FP, et al.: AmJ Clin Pathol 2004, 121:254-263
Reviews (0)
Only logged in customers who have purchased this product may leave a review.




Reviews
There are no reviews yet.