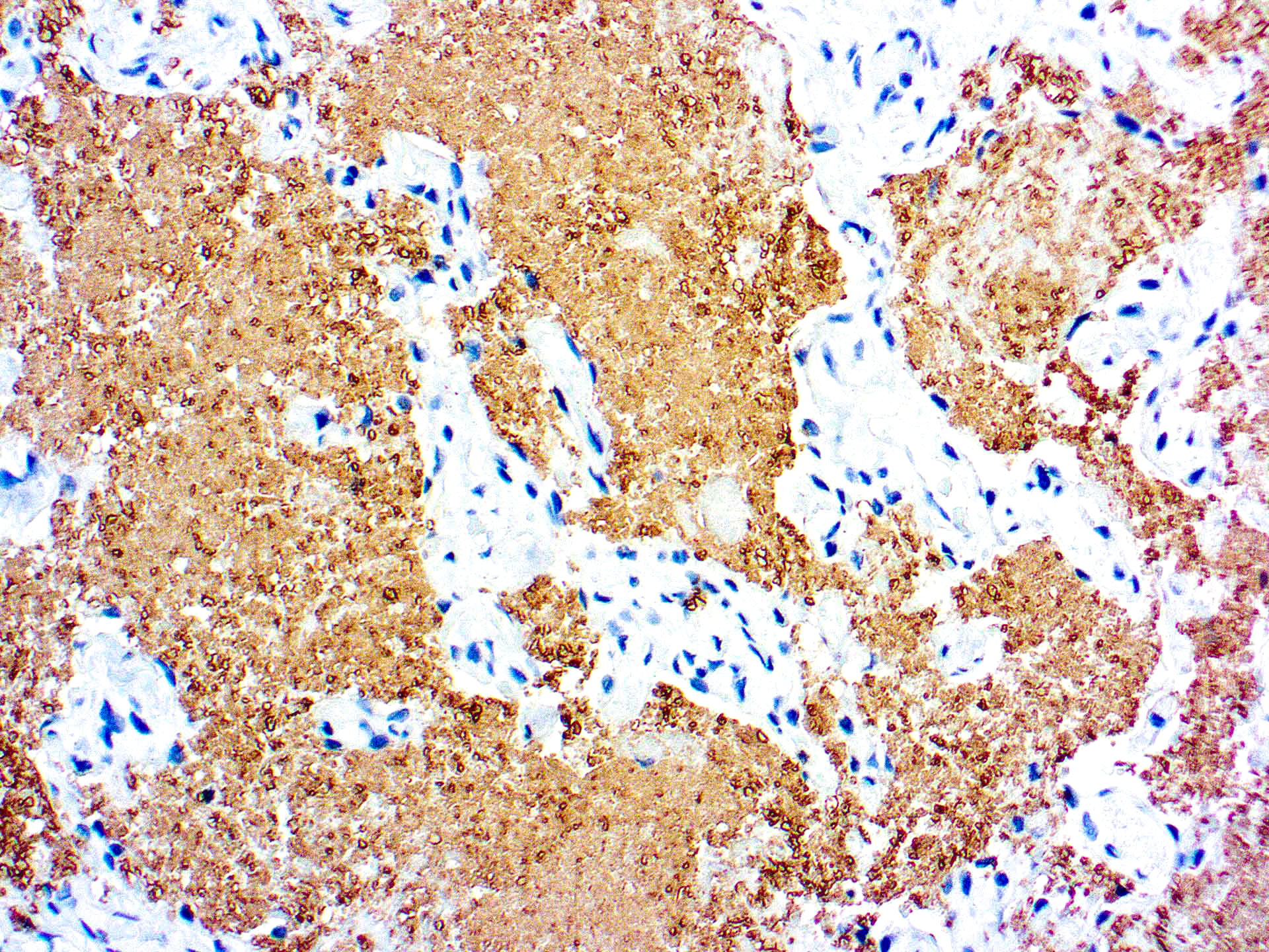
This antibody reacts with P. carinii in the fixed human tissues. The antibody is specific against an 82 kDa parasite specific polypeptide. It does not crossreact with G. lamblia, T. gondii, T. cruzi, L. tropica, E. histolytica, C. albicans and P. falciparum.
Pneumocystis Carinii
Description
Additional information
| Catalog No. | Mob091R, PDM584R |
|---|---|
| Clone | 3F6 |
| Isotype | IgM, kappa |
| Immunogen | BALB/C mice were injected with P. carinii cysts isolated from human lung. |
| Species | Mouse |
| Cellular Localization | Alveolar spaces |
| Positive Control Tissue | Infected lung |
| Pretreatment | Citrate Buffer pH 6.0 |
| Incubation & Temperature | 60 min @ RT |
| Intended Use | RUO |
| Detection System | PolyVue Plus – Two Step Detection System or Montage PolyVue Plus Auto Detection System for Montage 360 System |
| Description/Type | Mouse Monoclonal Antibody |
| Format | This product is supplied as a tissue culture supernatant and contains sodium azide as a preservative. |
DATASHEETS & SDS
DATASHEETS & SDS
| Download R Datasheet |
| Download SDS Sheet – OSHA |
REFERENCES
REFERENCES
- Linder et al. J Immunol Method 98: 57, 1987.
Elvin et al. Br Med J 297: 381, 1988.
Reviews (0)
Only logged in customers who have purchased this product may leave a review.




Reviews
There are no reviews yet.