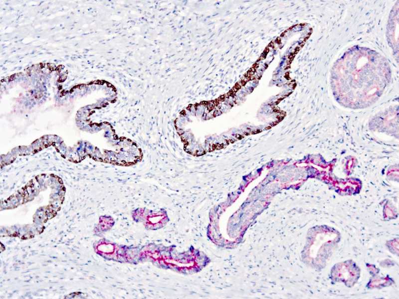
The combined detection of p504S, p40 and high molecular weight cytokeratin markers has been shown to be useful for distinguishing benign conditions mimicking cancer from prostate carcinomas. In particular, these markers have been shown to be relevant in diagnosing the premalignant condition, prostatic intraepithelial neoplasia (PIN).
High molecular weight cytokeratin and p63 are commonly used markers of basal epithelial cells. Benign prostate tissue contains basal cells, which are absent in prostate cancers. As p40 is an isoform of p63, it also stains basal epithelial cells and can be used in prostate cancer tissue.
P504S has been recently described as a prostate cancer-specific gene. Expression of p504S (AMACR) protein is seen in prostatic adenocarcinoma but not in benign prostatic tissue. Anti-p540S stains premalignant lesions of prostate: high-grade PIN and atypical adenomatous hyperplasia.
The PIN5 antibody combination may be particularly useful for confirming the diagnosis of prostate carcinoma in small foci of needle biopsies. The positive prostate cancer marker, p504S (AMACR), in conjunction with the negative basal cell markers (p40 and HMW cytokeratin) offers utility in diagnosing PIN in difficult cases where tissue may be limited.
PIN5 Cocktail
SKU: PDR057-
Categories: Primary Antibodies, IVD - Outside U.S. Market, RUO - For U.S. Market
Tags: Concentrated, P
Description
Additional information
| Catalog No. | PDR057 Prediluted |
|---|---|
| Clone | 34βE12 |
| Isotype | IgG1, kappa, Rabbit IgG |
| Immunogen | Polyclonal rabbit antibody to human p40 |
| Cellular Localization | p40: Nuclear, Cytokeratin (HMW): Cytoplasmic, P504S (AMACR): Cytoplasmic |
| Positive Control Tissue | Prostatic intraepithelial neoplasia (PIN) |
| Pretreatment | EDTA Buffer pH 8.0 |
| Incubation & Temperature | Reagent A: 15min@RT/ Reagent B:30 min @ RT |
| Intended Use | IVD |
| Detection System | PolyVue Plus – Two Step Detection System or Montage PolyVue Plus Auto Detection System for Montage 360 System |
| Description/Type | Rabbit anti-p40 + Mouse anti-Cytokeratin (HMW) and Rabbit anti-p504S (AMACR) |
| Format | Ready to Use |
| Species | Mouse, Rabbit |
DATASHEETS & SDS
REFERENCES
REFERENCES
- Beach et al. Am J Surg Pathol 26 (12): 1588, 2002.
- Luo et al. Cancer Res 62 (8): 2220, 2002.
- Molinie et al. Mod Pathol 17: 1180, 2004.
- Tacha and Miller Appl Immunohistochem Mol Morphol 12 (1):
75, 2004. - Signoretti et al. Am J Pathol 157 (6): 1769,
Reviews (0)
Only logged in customers who have purchased this product may leave a review.




Reviews
There are no reviews yet.