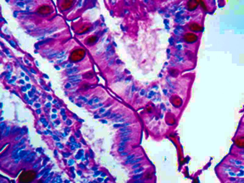
The Periodic Acid Schiff (PAS) Stain Kit is intended for use in histological demonstration of lymphocytes and mucopolysaccharides. The staining pattern of the lymphocytes are helpful in making therapeutic decisions in established cases of lymphocytic leukemia. The PAS reaction in tissue sections is useful for the demonstration of mucopolysaccharides. PAS staining may also be used for the demonstration of fungal organisms in tissue sections.
PAS
SKU: KT027-
Categories: IVD - For U.S. Market, IVD - Outside U.S. Market, Special Stains
Tags: Ready to Use, P
Description
Additional information
| Catalog No. | KT027 |
|---|---|
| Intended Use | IVD |
| Description/Type | Special Histology Staining Kits |
DATASHEETS & SDS
DATASHEETS & SDS
| Download Datasheet |
| DOWNLOAD SDS SHEET – OSHA DOWNLOAD SDS SHEET – EU |
REFERENCES
REFERENCES
- Culling CFA, Allison RT, Barr WT.: Cellular Pathology Technique, ath Edition. Buttenvorths, Pages 216-220,1985.
- Sheenan, D.C., Hrapchak, B.B. Theory and Practice of Histotechnolagy, 2nd Edition. CV Mosby, Columbus, OH. Pages 164. 167, 1980.
Reviews (0)
Only logged in customers who have purchased this product may leave a review.




Reviews
There are no reviews yet.