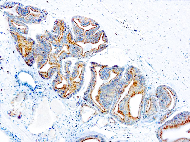
P504S has been recently described as a prostate cancer-specific gene that encodes a protein involved in the β-oxidation of branched chain fatty acids. Expression of p504S protein is found in prostatic adenocarcinoma but not in benign prostatic tissue. Itstains premalignant lesions of prostate: high-grade prostatic intraepithelial neoplasia (PIN) and atypical adenomatous hyperplasia. P504S can be used as a positive marker for PIN.
p504S/α-Methylacyl-CoA Racemase (AMACR)
SKU: RP134-
Categories: Primary Antibodies, IVD - For U.S. Market, IVD - Outside U.S. Market
Tags: Concentrated, P, Highlighter Product, IVD, HL72K-Core Kit
Description
Additional information
| Catalog No. | PDR046, PDR046-HL, RP134 |
|---|---|
| Clone | Rabbit |
| Immunogen | A synthetic human AMACR peptide. |
| Species | Rabbit |
| Cellular Localization | Cytoplasmic |
| Positive Control Tissue | Prostate carcinoma |
| Pretreatment | Citrate Buffer pH 6.0 |
| Incubation & Temperature | 30-60 min @ RT |
| Intended Use | IVD |
| Detection System | PolyVue Plus – Two Step Detection System or Montage PolyVue Plus Auto Detection System for Montage 360 System |
| Description/Type | Rabbit Polyclonal Antibody |
| Format | Purified immunoglobulin fraction ofrabbit antiserum against AMACR containing sodium azide as a preservative. |
DATASHEETS & SDS
DATASHEETS & SDS
| Download Datasheet |
| Download SDS Sheet – OSHA |
Reviews (0)
Only logged in customers who have purchased this product may leave a review.




Reviews
There are no reviews yet.