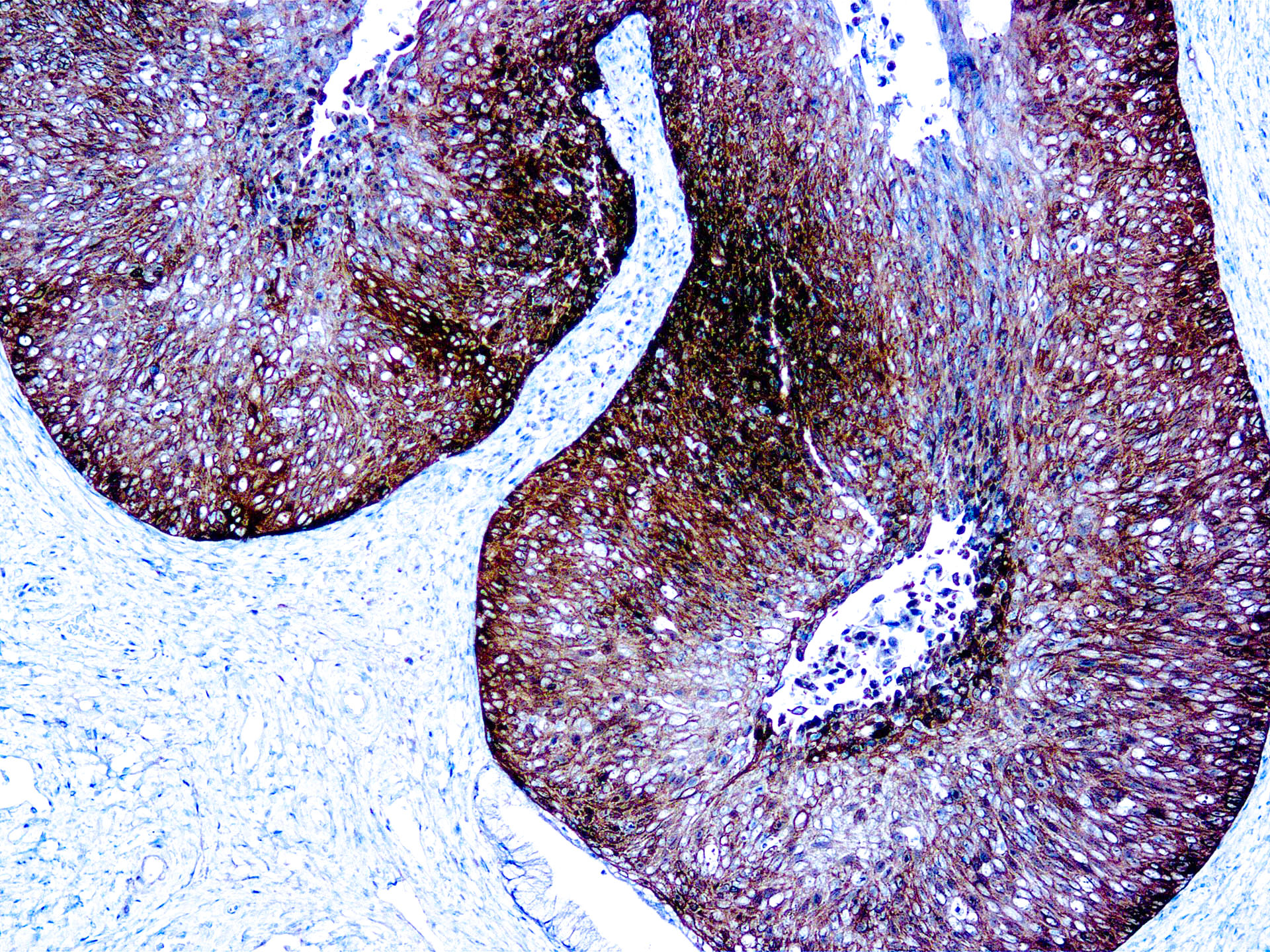
P16 is a mitotic inhibitor protein. It competes with D-type cyclins to bind to cdk4 and cdk6. It acts as tumor suppressor and inhibits the progression of cells through the G1 phase of the cell cycle.
p16
SKU: Mob575-
Categories: Primary Antibodies, IVD - For U.S. Market, IVD - Outside U.S. Market
Tags: Highlighter Product, HL72K-Core Kit, Concentrated, P
Description
Additional information
| Catalog No. | Mob575 Concentrated, PDM575 Prediluted |
|---|---|
| Clone | JC2 |
| Isotype | IgG2a |
| Immunogen | Purified recombinant prokaryotic full length human P16 INK4 protein |
| Species | Mouse |
| Cellular Localization | Nuclear and Cytoplasmic |
| Positive Control Tissue | Uterine cervical squamous cell carcinoma |
| Pretreatment | EDTA Buffer pH8.0 |
| Incubation & Temperature | 30 min @ RT |
| Intended Use | IVD |
| Detection System | PolyVue Plus – Two Step Detection System or Montage PolyVue Plus Auto Detection System for Montage 360 System |
| Description/Type | Mouse Monoclonal Antibody |
| Format | Tissue Culture Supernatant |
DATASHEETS & SDS
DATASHEETS & SDS
| Download Datasheet |
| Download SDS Sheet – OSHA |
REFERENCES
REFERENCES
Sherr CJ et al. D-type cyclins and their cyclin-dependent kinases: G1 phase integrators of the mitogenic response. Cold Spring Harb Symp Quant Biol 1994; 59:11–9.
Reviews (0)
Only logged in customers who have purchased this product may leave a review.




Reviews
There are no reviews yet.