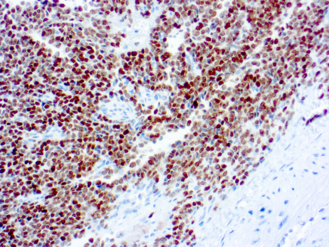
Expression of NKX2.2 has been found in neuroendocrine tumors of the gut, making it a potential marker for the study of gastrointestinal neuroendocrine tumors. More recently, NKX2.2 protein was identified as a target of EWS-FLI-1, the fusion protein specific to Ewing sarcoma, and was shown to be differentially upregulated in Ewing sarcoma on the basis of array-based gene expression analysis. It acts as a valuable marker for Ewing sarcoma and aids in the differential diagnosis of small round cell tumors.
Description
Additional information
| Catalog No. | Mob486, PDM199 |
|---|---|
| Clone | DBM15.15 |
| Species | Mouse |
| Isotype | IgG2b, kappa |
| Immunogen | Human full-length recombinant NKX2.2 protein |
| Positive Control Tissue | Ewing’s sarcoma |
| Pretreatment | Citrate Buffer pH 6.0 |
| Incubation & Temperature | 30 min @ RT |
| Intended Use | IVD |
| Detection System | PolyVue™ Plus – Two Step Detection System or Montage PolyVue Plus™ Auto Detection System for Montage 360 System |
| Format | This product is supplied as a purified immunoglobulin and contains sodium azide as a preservative. |
| Description/Type | Mouse Monoclonal Antibody |
DATASHEETS & SDS
DATASHEETS & SDS
| Download Datasheet |
| Download SDS Sheet – OSHA |
REFERENCES
REFERENCES
I. Wang, Y.C. et al. (2009) Endocr Relat Cancer 16, 267-79.
II. Yoshida A et. al. Am J Surg Pathol. 2012;36(7):993-9.
Reviews (0)
Only logged in customers who have purchased this product may leave a review.




Reviews
There are no reviews yet.