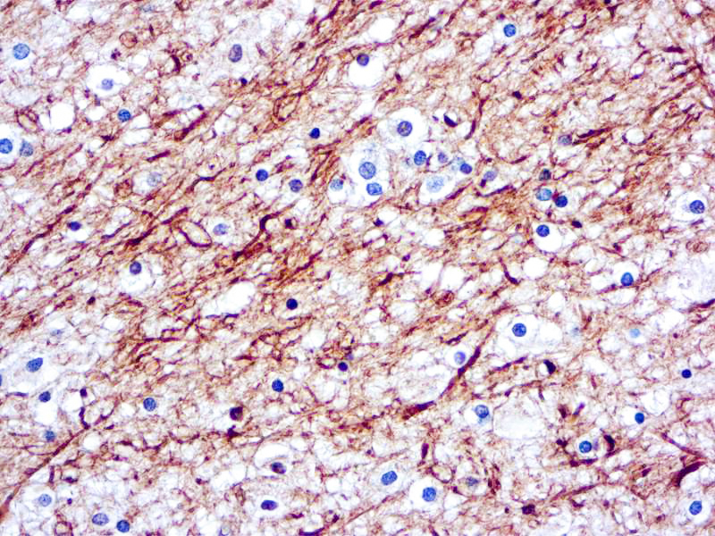
This antibody reacts with 70 and 200 kDa component of the neurofilament polypeptide subunit. It stains neurons, neuronal processes and peripheral nerves. This antibody reacts with some neuroblastomas and gangliomas but not with other non-neuronal tumors.
Neurofilaments
SKU: Mob080-
Categories: Primary Antibodies, IVD - For U.S. Market, IVD - Outside U.S. Market
Tags: Concentrated, N
Description
Additional information
| Catalog No. | Mob080 Concentrated, PDM012 Prediluted |
|---|---|
| Clone | 2F11 |
| Isotype | IgG1, kappa |
| Immunogen | BALB/C mice were injected with purified neurofilaments from human brain. |
| Species | Mouse |
| Cellular Localization | Cytoplasmic |
| Positive Control Tissue | Brain |
| Pretreatment | None |
| Incubation & Temperature | 30 min @ RT |
| Intended Use | IVD |
| Detection System | PolyVue Plus – Two Step Detection System or Montage PolyVue Plus Auto Detection System for Montage 360 System |
| Description/Type | Mouse Monoclonal Antibody |
| Format | This product is supplied as a tissue culture supernatant and contains sodium azide as a preservative. |
DATASHEETS & SDS
DATASHEETS & SDS
| Download Datasheet |
| Download SDS Sheet – OSHA |
REFERENCES
REFERENCES
- Osborn et al. Virchows arch 40: 141, 1984.
- Osborn et al. Am J Pathol 122: 433, 1986.
- Van Muijen et al. Human Pathol 16: 590, 1985
Reviews (0)
Only logged in customers who have purchased this product may leave a review.




Reviews
There are no reviews yet.