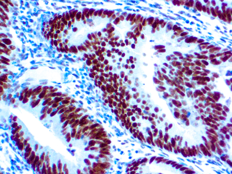
The G168-15 antibody recognizes human and mouse MLH1 (80-85kDa). The repair of mismatch DNA is essential to maintaining the integrity of genetic information over time. An alteration of microsatellite repeats is the result of slippage owing to strand misalignment during DNA replication and is referred to as microsatellite instability (MSI). These defects in DNA repair pathways have been related to human carcinogenesis. The importance of mismatch repair genes became apparent with the identification of the genetic basis for hereditary nonpolyposis colon cancer (HNPC). MSH-2 isinvolved in the initial cognition of mismatch nucleotides during the replication mismatch repair process. It is thought that after MSH2 binds to a mismatched DNA duplex it isjoined by a heterodimer of MLH1 and PMSH, which together help facilitate the later steps in mismatch repair.
MLH-1
SKU: 5301
Categories: Primary Antibodies, IVD - For U.S. Market, IVD - Outside U.S. Market
Tags: Highlighter Product, HL72K Plus-Core Plus Kit, Concentrated, M
Description
Additional information
| Clone | G168-15 |
|---|---|
| Isotype | IgG1 |
| Immunogen | Full length recombinant MLH. |
| Species | Mouse |
| Cellular Localization | Nuclear |
| Positive Control Tissue | Colon carcinoma, Tonsil |
| Pretreatment | EDTA Buffer pH 8.0 |
| Incubation & Temperature | 60 min @ RT |
| Intended Use | IVD |
| Detection System | PolyVue Plus – Two Step Detection System or Montage PolyVue Plus Auto Detection System for Montage 360 System |
| Description/Type | Mouse Monoclonal Antibody |
| Format | Tissue Culture Supernatant |
DATASHEETS & SDS
DATASHEETS & SDS
| Download Datasheet |
| Download SDS Sheet – OSHA |
REFERENCES
REFERENCES
- Machin et al. J Cutan Pathol 29 (7): 415, 2002
Reviews (0)
Only logged in customers who have purchased this product may leave a review.




Reviews
There are no reviews yet.