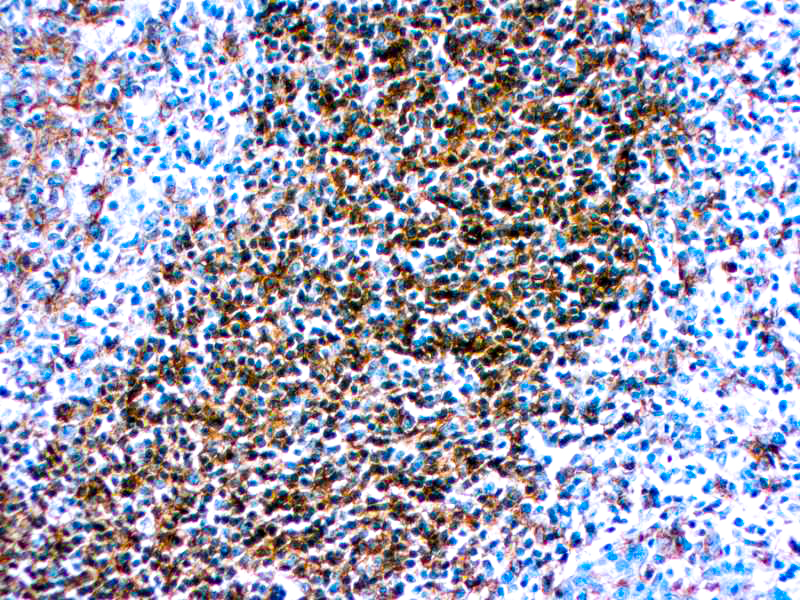
Reacts with a common epitope of human major histocopatibility (MHC) class II antigens, HLA-DP, -DQ and -DR. Human MHC Class II antigens are transmembrane glycoprotiens composed of an □ chain (36kDa) and a □ chain (27kDa). They are expressed primarily on antigen presenting cells such as B lymphocytes, monocytes, macrophages, and thymic epithelial cells and are also present on activated T lymphocytes. Human MHC class II genes are located in the HLA-D region that encodes at least six □ and ten □chain genes. Three loci, DR, DQ, and DP, encode the major expressed products of the human class II region. The human MHC class II molecules bind intracellularly processed peptides and present them to T-helper cells. They, therefore, have a critical role in the intiation of the immune response. It has been shown that some autoimmune diseases are associated with certain class II alleles.
HLA-DR (β chain of DP, DQ & DR)
SKU: 5743
Categories: Primary Antibodies, IVD - Outside U.S. Market, RUO - For U.S. Market, RUO - Outside U.S. Market
Tags: H, Highlighter Product, HL72K-Core Kit, Concentrated
Description
Additional information
| Clone | CR3/43 |
|---|---|
| Isotype | IgG1, kappa |
| Immunogen | Tonsil cells |
| Species | Mouse |
| Cellular Localization | cell membrane |
| Positive Control Tissue | Tonsil |
| Pretreatment | EDTA Buffer pH 8.0 |
| Incubation & Temperature | 30 min @ RT |
| Intended Use | RUO |
| Detection System | PolyVue Plus – Two Step Detection System or Montage PolyVue Plus Auto Detection System for Montage 360 System |
| Description/Type | Mouse Monoclonal Antibody |
| Format | Tissue Culture Supernatant |
DATASHEETS & SDS
DATASHEETS & SDS
| Download R Datasheet |
| Download SDS Sheet – OSHA |
Reviews (0)
Only logged in customers who have purchased this product may leave a review.




Reviews
There are no reviews yet.