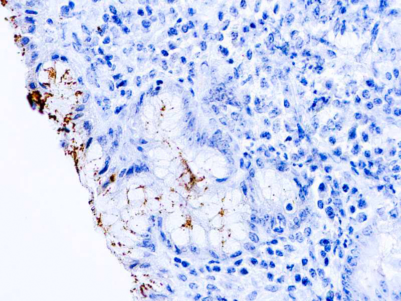
This antibody reacts with the whole H. pylori. The antibody stains the bacteria present on the surface of the epithelium or in the cytoplasm of the epithelial cells. H. pylori is known to cause peptic ulcer and chronic gastritis in humans.
Helicobacter Pylori (Rabbit)
SKU: 8768
Categories: Primary Antibodies, IVD - For U.S. Market, IVD - Outside U.S. Market
Tags: HL72K-Core Kit, Concentrated, H, Highlighter Product
Description
Additional information
| Catalog No. | PDR053, RP016 |
|---|---|
| Clone | Rabbit |
| Immunogen | Total lysate of H. pylori. |
| Species | Rabbit |
| Cellular Localization | Cytoplasmic |
| Positive Control Tissue | Infected stomach |
| Pretreatment | EDTA Buffer pH 8.0 |
| Incubation & Temperature | 30 min @ RT |
| Intended Use | IVD |
| Detection System | PolyVue Plus – Two Step Detection System or Montage PolyVue Plus Auto Detection System for Montage 360 System |
| Description/Type | Rabbit Polyclonal Antibody |
| Format | Purified immunoglobulin fraction of rabbit antiserum against human H. pylori containing sodium azide as a preservative. |
DATASHEETS & SDS
DATASHEETS & SDS
| Download Datasheet |
| Download SDS Sheet – OSHA |
REFERENCES
REFERENCES
- Andersen et al. Apmis 96: 559, 1988.
Reviews (0)
Only logged in customers who have purchased this product may leave a review.




Reviews
There are no reviews yet.