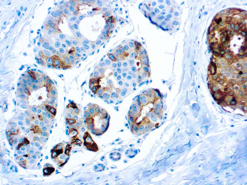
It recognizes a protein of 15kDa, identified as Gross cystic disease fluid protein 15 (GCDFP-15). It is a major protein component of benign breast gross cysts. It is a known marker of breast cancer, asit isfound in approximately 50% of all breast cancer specimens. GCDFP-15, also known as PIP, for prolactin inducible protein, is a prolactin and androgen controlled protein. This antibody is useful in the identification of metastatic breast carcinoma, or fluid analysis.
GCDFP-15
SKU: Mob526-
Categories: Primary Antibodies, IVD - For U.S. Market, IVD - Outside U.S. Market
Tags: Highlighter Product, HL72K-Core Kit, Concentrated, G
Description
Additional information
| Clone | DBM15.52 |
|---|---|
| Isotype | IgG2a, kappa |
| Immunogen | Recombinant human GCDFP-15 protein fragment (aa 41-146). |
| Species | Mouse |
| Cellular Localization | Cytoplasmic (Golgi bodies) and Secreted |
| Positive Control Tissue | Breast carcinoma |
| Pretreatment | EDTA Buffer pH 8.0 |
| Incubation & Temperature | 30 min @ RT |
| Intended Use | IVD |
| Detection System | PolyVue Plus – Two Step Detection System or Montage PolyVue Plus Auto Detection System for Montage 360 System |
| Description/Type | Mouse Monoclonal Antibody |
| Format | Purified immunoglobulin |
DATASHEETS & SDS
DATASHEETS & SDS
| Download Datasheet |
| Download SDS Sheet – OSHA |
REFERENCES
REFERENCES
- Cassoni P, et al. Mitogenic effect of the 15-kDa gross cystic disease fluid protein (GCDFP-15) on breast-cancer cell lines and on immortal mammary cells. Int J Cancer. 1995 Jan 17;60(2):216-20.
- Haagensen, D.E., Jr., et al. Breast gross cystic disease fluid analysis. Isolation and radioimmunoassay for a major component protein. J. Natl. Cancer Inst. 62: 239-247.
Reviews (0)
Only logged in customers who have purchased this product may leave a review.




Reviews
There are no reviews yet.