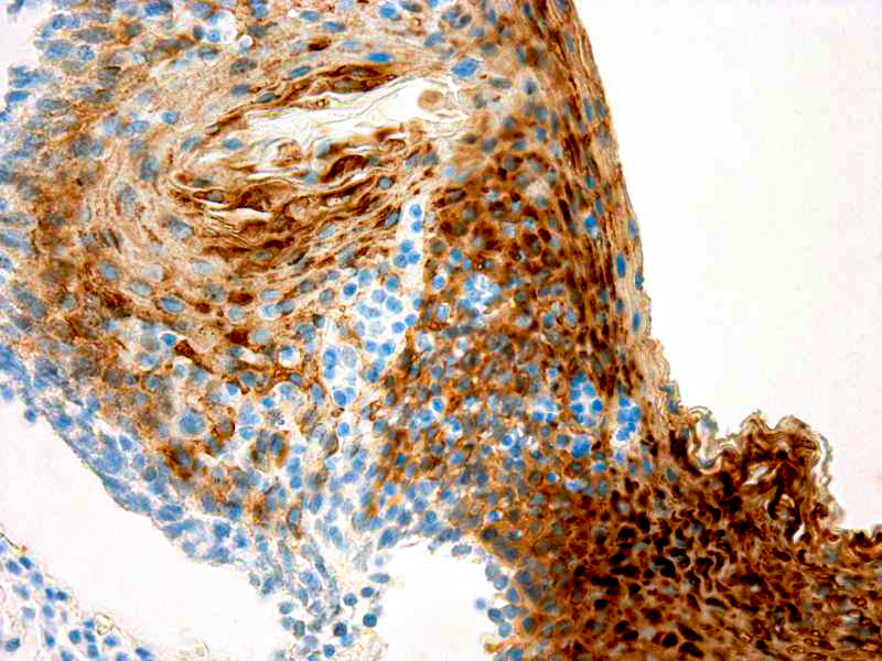
This antibody is specific to 54 kDa protein. Cytokeratin 13 belongs to the type A (acidic) subfamily of low molecular weight cytokeratins and exists in combination with cytokeratin 4. Cytokeratin 13 is expressed in squamous, non-keratinized epithelium, transitional epithelium and myoepithelium. This antibody is useful for the identification of carcinomas of trachea, sweat glands, bladder, ectocervix, tongue, esophagus, anal canal and the basal layer of keratinized epidermis.
Cytokeratin 13
SKU: Mob443-
Categories: Primary Antibodies, IVD - For U.S. Market, IVD - Outside U.S. Market
Tags: C, Concentrated
Description
Additional information
| Clone | KS-1A3 |
|---|---|
| Isotype | IgG1 |
| Immunogen | Cultured A431 cells from a human epidermoid carcinoma of the vulva. |
| Species | Mouse |
| Cellular Localization | Cytoplasmic |
| Positive Control Tissue | skin |
| Pretreatment | Citrate Buffer pH 6.0 |
| Incubation & Temperature | 30 min @ RT |
| Intended Use | IVD |
| Detection System | PolyVue Plus – Two Step Detection System or Montage PolyVue Plus Auto Detection System for Montage 360 System |
| Description/Type | Conc Mouse Monoclonal Antibody |
| Format | 1 mL purified immunoglobulin fraction of rabbit antiserum conjugated with fluorescein isothiocynate isomer 1, containing sodium azide as a preservative. |
DATASHEETS & SDS
DATASHEETS & SDS
| Download Datasheet |
| Download SDS Sheet – OSHA |
REFERENCES
REFERENCES
- Van Muijen et al. Exp Cell Res 162: 97, 1986.
Reviews (0)
Only logged in customers who have purchased this product may leave a review.




Reviews
There are no reviews yet.