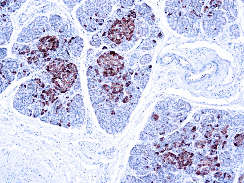
Chromogranin A is present in neuroendocrine cells throughout the body, including the neuroendocrine cells of the large and small intestine, adrenal medulla and pancreatic islets. It is an excellent marker for carcinoid tumors, pheochromocytomas, paragangliomas, and other neuroendocrine tumors. Co-expression of chromogranin A and neuron specific enolase (NSE) is common in neuroendocrine neoplasms. Reportedly, co-expression of certain keratins and chromogranin indicates neuroendocrine lineage. The presence of strong anti-chromogranin staining and absence of anti-NSE is typical of neuroendocrine neoplasms. Most pituitary adenomas and prolactinomas readily express chromogranin.
Chromogranin A
SKU: 8341
Categories: Primary Antibodies, IVD - For U.S. Market, IVD - Outside U.S. Market
Tags: Concentrated, C, Highlighter Product, HL72K-Core Kit
Description
Additional information
| Clone | Rabbit |
|---|---|
| Isotype | _ |
| Immunogen | Recombinant human full-length Chromogranin A protein |
| Species | Rabbit |
| Cellular Localization | Cytoplasmic |
| Positive Control Tissue | Pancreas |
| Pretreatment | Citrate Buffer pH 6.0 (Manual/ Montage) |
| Incubation & Temperature | 30 min @ RT |
| Intended Use | IVD |
| Detection System | PolyVue™ Plus – Two Step Detection System or Montage PolyVue Plus™ Auto Detection System for Montage 360 System or HighLighter core kit for HighLighter Staining System |
| Description/Type | Rabbit Polyclonal Antibody |
| Format | Purified immunoglobulin |
DATASHEETS & SDS
DATASHEETS & SDS
| Download Datasheet |
| Download SDS Sheet – OSHA
|
REFERENCES
REFERENCES
- Konecki DS et. al. J Biol Chem 1987;262:17026-30.
- Lloyd RV et. al. Am J Pathol 1988; 130:296-304.
Reviews (0)
Only logged in customers who have purchased this product may leave a review.




Reviews
There are no reviews yet.