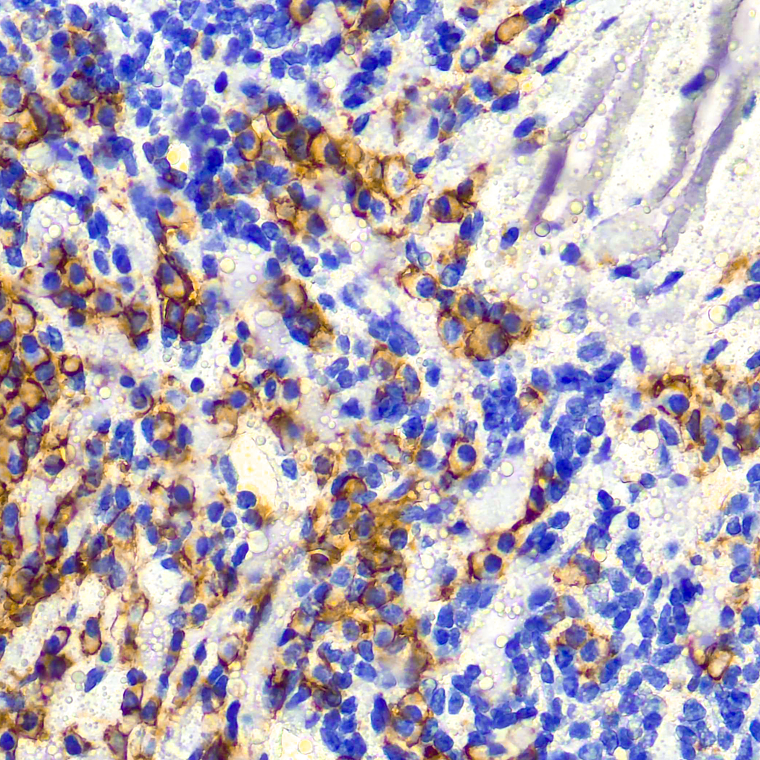
CD138, also known as Syndecan-1, is a member of the transmembrane heparan sulfate proteoglycan family, acts as an extracellular matrix receptor and is involved in many cellular functions, including cell-cell adhesion and cell-matrix adhesion. CD138 expression is found in both hematopoietic and non-hematopoietic cells. In the hematopoietic system, CD138 labels plasma cells. It is an excellent marker for plasmacytic differentiation within the spectrum of hematologic malignancy. Among non-hematolymphoid cells, CD138 reactivity is observed in many types of epithelial cells and stoma cells in both normal and tumor tissues.
CD138 (EP201)
SKU: 8609
Categories: Primary Antibodies, IVD - For U.S. Market, IVD - Outside U.S. Market
Tags: C, Concentrated
Description
Additional information
| Clone | EP201 |
|---|---|
| Isotype | Rabbit IgG |
| Immunogen | A synthetic peptide corresponding to residues in human CD138 protein |
| Species | Rabbit |
| Cellular Localization | Membrane |
| Positive Control Tissue | Plasmacytoma, Tonsil |
| Pretreatment | Citrate Buffer pH 6.0 |
| Incubation & Temperature | 30 min @ RT |
| Intended Use | IVD |
| Detection System | PolyVue Plus – Two Step Detection System or Montage PolyVue Plus Auto Detection System for Montage 360 System |
| Description/Type | Rabbit Monoclonal Antibody |
| Format | This antibody is affinity purified and diluted in 10 mM Phosphate buffered saline (PBS), pH 7.5 containing 1% bovine serum albumin (BSA) and 0.05% sodium azide (NaN3) as a preservative. |
DATASHEETS & SDS
DATASHEETS & SDS
| Download Datasheet |
| Download SDS Sheet – OSHA |
REFERENCES
REFERENCES
- Elenius K, et al.:1 Biol Chem 1990, 265:17837-17843
- Mali M, et al.:1 Biol Chem 1990, 265:6884-6889
- OConnell FP, et al.: Am 1 Clin Pathol 2000,121:254-263
- Costes V, et al.: Hum Pathol 1999, 30:1405-1411
- Chilosi M, et al.: Mod Pathol 1999,12:1101-1
Reviews (0)
Only logged in customers who have purchased this product may leave a review.




Reviews
There are no reviews yet.