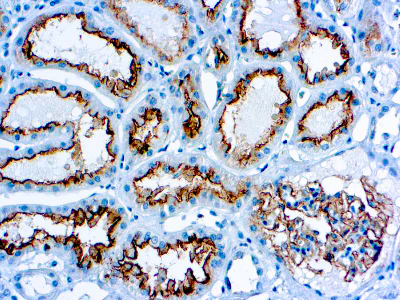
The common acute lymphoblastic leukemia antigen (CALLA/CD10) is a single-pass type II transmembrane metallo-endopeptidase that cleaves and inactivates a variety of peptide growth factors important for signal transduction including the enkephalins, bombesin and substance P. CD10 is expressed by a number of hematopoietic cells such as immature T and B cells, B cells of the germinal centers of lymphoid follicles and granulocytes. It also reacts with a variety of non-hematopoietic cells, including epithelial cells in GI tract and kidney tubular. In liver, the bile canaliculi shows a moderate to strong staining. CD10 has been used for the identification and classification of certain types of malignant lymphoma and leukemia. CD10 is expressed in a high percentage of cases of acute lymphoblastic leukemia, follicular lymphoma, Burkitt’s lymphoma, some hematopoietic tumors, and chronic myelogenous leukemias in lymphoid blast crisis. It is also known to be a marker of endometrial stromal cells. It is helpful in differentiating endometrial stromal sarcoma (ESS) from uterine cellular leiomyoma (UCL) and uterine leiomyosarcoma (ULS).
CD10 (EP195)
SKU: RMAB037-
Categories: Primary Antibodies, IVD - For U.S. Market, IVD - Outside U.S. Market
Tags: Concentrated, C
Description
Additional information
| Catalog No. | RMAB037 Concentrated, RMPD037 Prediluted |
|---|---|
| Clone | EP195 |
| Isotype | Rabbit IgG |
| Immunogen | A recombinant fragment corresponding to residues in human CD10 protein |
| Species | Rabbit |
| Cellular Localization | cell membrane, Cytoplasmic |
| Positive Control Tissue | Follicular Lymphoma, Renal Cell Carcinoma, Tonsil |
| Pretreatment | Citrate Buffer pH 6.0 |
| Incubation & Temperature | 30 min @ RT |
| Intended Use | IVD |
| Detection System | PolyVue Plus – Two Step Detection System or Montage PolyVue Plus Auto Detection System for Montage 360 System |
| Description/Type | Rabbit Monoclonal Antibody |
| Format | This antibody is affinity purified and diluted in 10 mM Phosphate buffered saline (PBS), pH 7.5 containing 1% bovine serum albumin (BSA) and 0.05% sodium azide (NaN3) as a preservative. |
DATASHEETS & SDS
DATASHEETS & SDS
| Download Datasheet |
| Download SDS Sheet – OSHA |
REFERENCES
REFERENCES
- Shipp MA, et al.: Proc Natl Acad Sci U S A 1988, 85:4819-4823
- Shipp MA, et al.: Nature 1990, 347:394-396
- Loke SL, et al.: J Clin Pathol 1990, 43:654-656
- McIntosh GG, et al.: Am J Pathol 1999, 154:77-82
- Thompson RC, et al.: J Biol Chem 2011, 286:1675-1
Reviews (0)
Only logged in customers who have purchased this product may leave a review.




Reviews
There are no reviews yet.