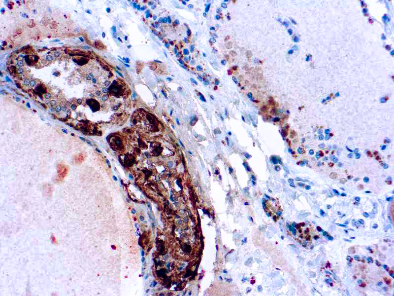
This antibody recognizes calcitonin, which is a 32 amino acid peptide, which can be demonstrated in C cells of the normal and hyperplastic thyroid. Staining for calcitonin may be used for the identification of a spectrum of C cell proliferative abnormalities ranging from C cell hyperplasia to invasive tumors. Staining for calcitonin in medullary carcinoma of the thyroid produces a fine granular pattern in the cytoplasm. Amyloid deposits within the tumor may also exhibit varying degrees of calcitonin activity.
Calcitonin (SP17)
SKU: RMAB009-
Categories: Primary Antibodies, IVD - For U.S. Market, IVD - Outside U.S. Market
Tags: C, Concentrated
Description
Additional information
| Catalog No. | RMAB009 Concentrated, RMPD009 Prediluted |
|---|---|
| Clone | SP17 |
| Isotype | IgG |
| Immunogen | Synthetic human calcitonin 1-32 amino acid peptide. |
| Species | Rabbit |
| Cellular Localization | Cytoplasmic |
| Positive Control Tissue | Thyroid or medullary carcinoma |
| Pretreatment | Citrate Buffer pH 6.0 |
| Incubation & Temperature | 30-60 min @ RT |
| Intended Use | IVD |
| Detection System | PolyVue Plus – Two Step Detection System or Montage PolyVue Plus Auto Detection System for Montage 360 System |
| Description/Type | Rabbit Monoclonal Antibody |
| Format | This product is supplied as a immunoglobulin and contains sodium azide as a preservative. |
DATASHEETS & SDS
DATASHEETS & SDS
| Download Datasheet |
| Download SDS Sheet – OSHA |
REFERENCES
REFERENCES
–
Reviews (0)
Only logged in customers who have purchased this product may leave a review.




Reviews
There are no reviews yet.