ATRX is a member of the Snf2 family of helicase/ATPases, which contribute to the remodeling of the nucelosome structure in an ATPdependent manner and facilitate the initiation of transcription and replication. Central nervous system (CNS): loss of ATRX expression in 45% of anaplastic astrocytomas, 27% of anaplastic oligoastrocytomas, 10% of anaplastic oligodendrogliomas. Genetic signatures, including ATRX, may refine classification of gliomas
Description
Additional information
| Catalog No. | Mob600 Concentrated, PDM600 Prediluted |
|---|---|
| Clone | D5 |
| Isotype | IgG2a, kappa |
| Immunogen | raised against amino acids 2193-2492 mapping near the C-terminus of ATRX of human origin |
| Species | Mouse |
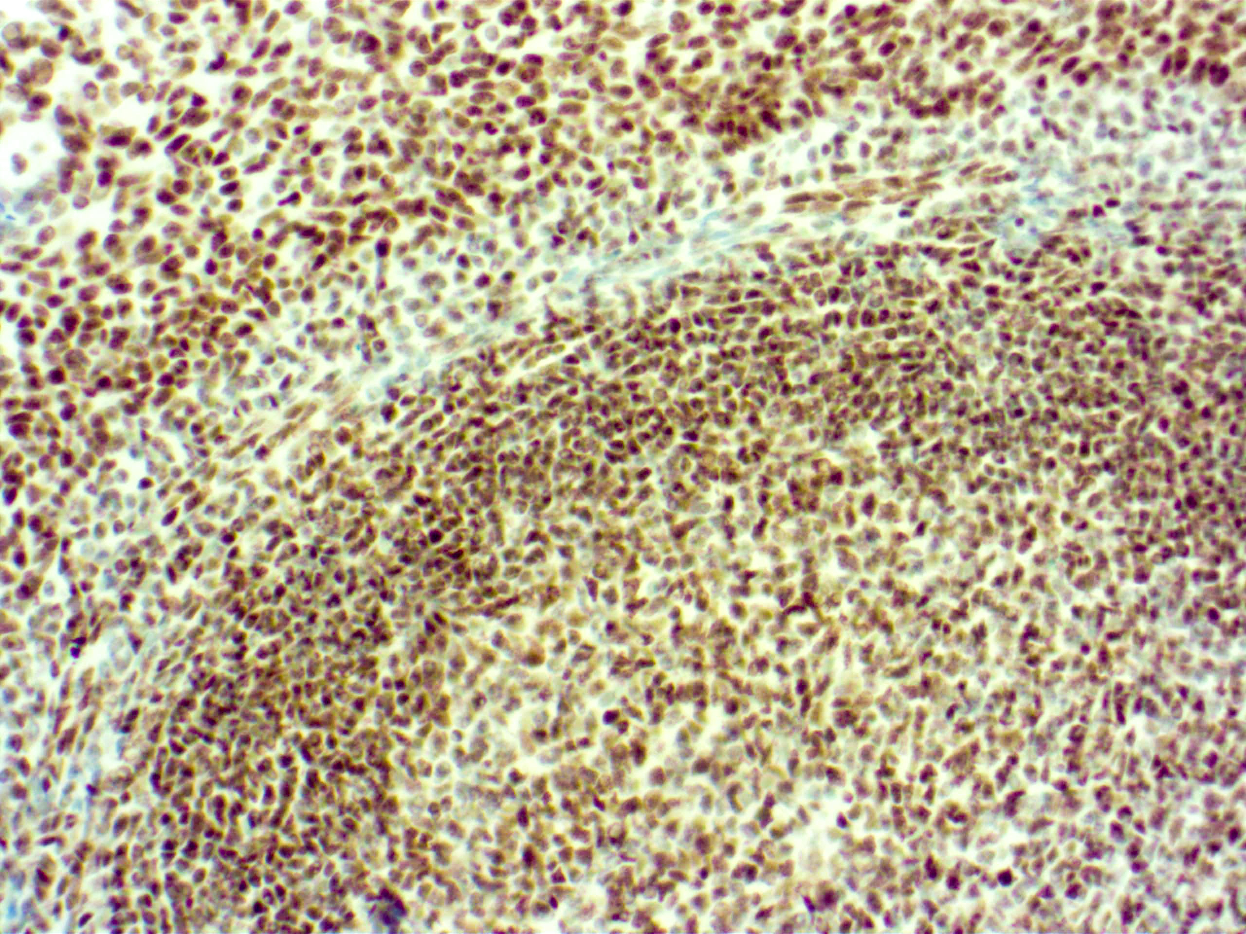
| Cellular Localization | Nuclear |
| Positive Control Tissue | Pancreas |
| Pretreatment | EDTA Buffer, pH8.0 |
| Incubation & Temperature | 30 min @ RT |
| Intended Use | IVD |
| Detection System | PolyVue™ Plus – Two Step Detection System or Montage PolyVue Plus™ Auto Detection System for Montage 360 System |
| Description/Type | Mouse Monoclonal Antibody |
| Format | This product is supplied as a purified immunoglobulin and contains sodium azide as a preservative. |
DATASHEETS & SDS
DATASHEETS & SDS
| Download Datasheet |
| Download SDS Sheet – OSHA |
REFERENCES
REFERENCES
I. Yuchen Jiao et al. Frequent ATRX, CIC, FUBP1 and IDH1 mutations refine the classification of malignant gliomas. Oncotarget. 2012 Jul;3(7):709-22
II. Benedikt Wiestler et al. ATRX loss refines the classification of anaplastic gliomas and identifies a subgroup of IDH mutant astrocytic tumors with better prognosis. Acta Neuropathol. 2013 Sep;126(3):443-51.
Reviews (0)
Only logged in customers who have purchased this product may leave a review.




Reviews
There are no reviews yet.