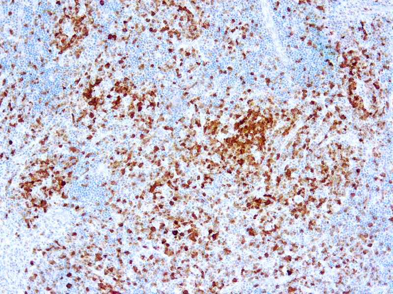
Anaplastic large cell lymphoma (ALCL) is usually composed of large pleomorphic cells, which express CD30 antigen and the epithelial membrane antigen (EMA). These tumor cells tend to occur in younger patients and may be associated with cutaneous and extranodal involvement. Large cell lymphoma account for approximately 25% of all non-Hodgkin lymphomas in children and young adults.
ALK p80
SKU: 5350
Categories: Primary Antibodies, IVD - Outside U.S. Market, RUO - For U.S. Market
Tags: Highlighter Product, HL72K Plus-Core Plus Kit, Concentrated, A
Description
Additional information
| Catalog No. | Mob416, Mob416R – Concentrated |
|---|---|
| Clone | 5A4 |
| Isotype | IgG1 |
| Immunogen | Prokaryotic recombinant protein corresponding to a region which spans the tyrosine kinase catalytic domain and part of the C-terminus of NPM-ALK transcript (419-520 aa). |
| Species | Mouse |
| Cellular Localization | Cytoplasmic, Nuclear |
| Positive Control Tissue | Anaplastic Lymphoma |
| Pretreatment | Citrate Buffer pH 6.0 |
| Incubation & Temperature | 30 min @ RT |
| Intended Use | IVD, RUO |
| Detection System | PolyVue Plus – Two Step Detection System or Montage PolyVue Plus Auto Detection System for Montage 360 System |
| Description/Type | Conc Mouse Monoclonal Antibody |
| Format | Tissue Culture Supernatant |
DATASHEETS & SDS
REFERENCES
REFERENCES
- Downing et al. Blood 85: 3416, 1995.
- Pittaluga et al. Am J Pathol 151: 343, 1997.
- Pulford et al. Blood 89: 1394, 1997.
Reviews (0)
Only logged in customers who have purchased this product may leave a review.




Reviews
There are no reviews yet.