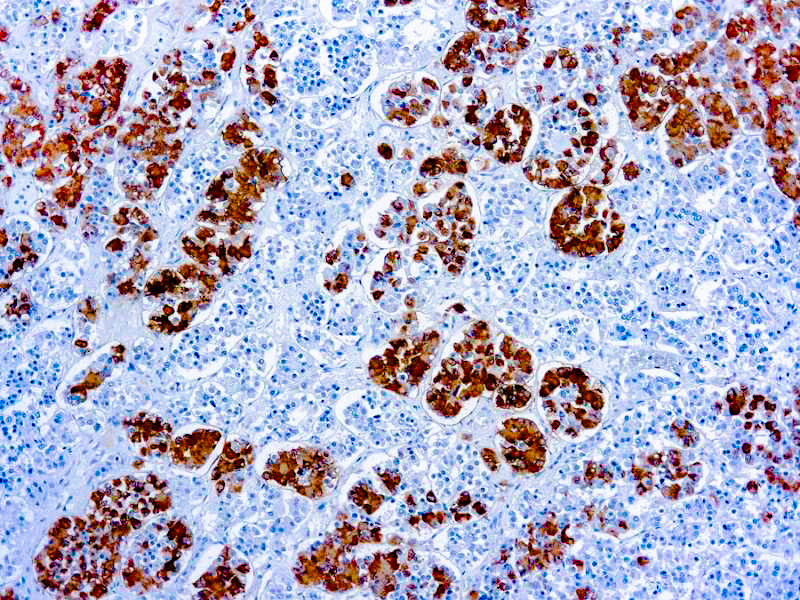
This antibody is specific to Synacthen (aa1-24 of ACTH); does not react with CLIP (aa17-39 of ACTH). POMC (peo-opiomelanocortin or corticotropinlipotropin) is a 267 amino acid polypeptide hormone precursor that goes through extensive, tissue-specific posttranslational processing by convertases. This antibody stains corticotrophs in the adenohypophysis and is useful in the classification of pituitary adenomas.
Adrenocorticotropic Hormone (ACTH) (AH26)
SKU: Mob244-
Categories: Primary Antibodies, IVD - For U.S. Market, IVD - Outside U.S. Market
Tags: HL72K-Core Kit, Concentrated, A, Highlighter Product
Description
Additional information
| Catalog No. | Mob244 Concentrated, PDM583 Prediluted |
|---|---|
| Clone | AH26 |
| Isotype | IgG1 |
| Immunogen | BALB/C mice were injected with a synthetic peptide corresponding to amino acids 1-24 from the N-terminal of human ACTH. |
| Species | Mouse |
| Cellular Localization | Cytoplasmic |
| Positive Control Tissue | Pituitary |
| Pretreatment | None |
| Incubation & Temperature | _ |
| Intended Use | IVD |
| Detection System | PolyVue Plus – Two Step Detection System or Montage PolyVue Plus Auto Detection System for Montage 360 System |
| Description/Type | Conc Mouse Monoclonal Antibody |
| Format | 10X Concentrated |
DATASHEETS & SDS
DATASHEETS & SDS
| Download Datasheet |
| Download SDS Sheet – OSHA |
REFERENCES
REFERENCES
- Hsu DW et. al. American Journal of Pathology, 1991, 138(4):897-
909
Reviews (0)
Only logged in customers who have purchased this product may leave a review.




Reviews
There are no reviews yet.